![]() |
|
![]() |
|
Case Report
| ||||||
| Peliosis hepatis and splenosis: An unusual cause of spontaneous hemoperitoneum | ||||||
| Kevin Mo1, Daniel Tong2, Ronnie Poon3 | ||||||
|
1MBBS, MRCS, Department of Surgery, The University of Hong Kong, Queen Mary Hospital.
2MBBS, MS, MRCS, FRACS, FCSHK, FHKAM, Department of Surgery, The University of Hong Kong, Queen Mary Hospital. 3MBBS, MD, PhD, FRCS Department of Surgery, The University of Hong Kong, Queen Mary Hospital. | ||||||
| ||||||
|
[HTML Abstract]
[PDF Full Text]
[Print This Article]
[Similar article in Pumed] [Similar article in Google Scholar]
|
| How to cite this article: |
| Mo K, Tong D, Poon R. Peliosis hepatis and splenosis: An unusual cause of spontaneous haemoperitoneum. International Journal of Case Reports and Images 2013;4(4):216–219. |
|
Abstract
|
|
Introduction:
Peliosis hepatis and splenosis is a rare disease. Most patients are asymptomatic. Spontaneous hemoperitoneum can be the clinical presentation due to rupture of the involved organs.
Case Report: A 73-year-old male had sequential spontaneous rupture of the liver and spleen resulting from hemoperitoneum because of peliosis hepatis and splenosis. Details of the clinical presentation, operative approach and management were described. Conclusion: The incidence, pathogenesis, clinical presentations and treatment options of peliosis hepatis and splenosis were discussed. | |
|
Keywords:
Peliosis hepatis, Splenosis, Spontaneous hemoperitoneum
| |
|
Introduction
| ||||||
|
Peliosis is a rare benign pathological disorder characterized by the presence of multiple blood-filled cavities within parenchymatous organs. The name is derived from the Greek word pelios which means blackish-bluish with sugillation. The term was firstly used by Wagner in 1861 to describe the gross appearance of the lesions on cut surfaces of the liver. [1] However, it was Schoenlank who coined the term peliosis hepatis in literature in 1916, where he reported a case of a young woman who died of miliary tuberculosis. [2] In 1866, Cohnheim described the first case of peliosis involving the spleen in a 27-year-old male who died suddenly as an in-patient of a psychiatric ward. Here, a case of a 73-year-old male with peliosis of the liver and spleen, presenting with spontaneous hemoperitoneum is discussed. | ||||||
|
Case Report
| ||||||
|
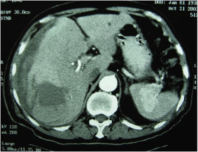
A 73-year-old male presented to a public hospital with acute onset paraumbilical pain for the preceding few hours. His past medical history was unremarkable and there was no documentation on the immune status or being labeled as human immunodeficient virus (HIV) carrier. He had not taking any regular medications including steroid. Subsequent chest and abdominal radiographs and blood investigations were grossly normal. Within a few hours after admission, the patient complained of deterioration of his symptoms, and interval physical examination elicited tenderness and guarding over the right upper quadrant. A diagnostic laparoscopy was arranged promptly, and 500 mL of liquefied old blood was found inside the peritoneal cavity. On further examination, there was a 5-cm subcapsular hematoma at segment V of the liver. The procedure was converted to a formal laparatomy for a more detail examination but there was no additional finding. Other intra-abdominal organs including the spleen were all normal. Peritoneal lavage with normal saline was performed and it was decided to manage the liver hematoma conservatively. The abdominal wound was then closed. After the operation, the patient recovered smoothly and was discharged after four days. Unfortunately, one week after his discharge, he presented again with acute onset of epigastric pain. Computed tomography (CT) scan of the abdomen revealed a large subcapsular hematoma with an associated intra parenchymal hepatic hematoma in segments VI/VII. (Figure 1) An emergent angiogram was performed which did not demonstrate an active bleeding source. Transarterial embolization of the right hepatic artery was performed. After the procedure, his hemoglobin continued to drop and he developed hypotension. Emergency laparotomy found 1800 mL of blood inside the peritoneal cavity. A right hepatectomy was performed in light of recurrent hemorrhage and presence of hepatic subcapsular hematoma. The appearance of the surgical specimen is shown in (Figure 2). The patient remained stable after the operation until the 7th day when he developed sudden onset of hypovolumic shock again. Emergency re-laparotomy revealed 1500 mL of fresh blood within the peritoneal cavity. On this occasion, there was bleeding noted from the spleen with rupture of the splenic capsule. Splenectomy was performed for hemostasis and the rest of the laparotomy was normal. The surgical specimen of the spleen is shown in (Figure 3). Postoperatively, the patient was nursed in the intensive care unit (ICU). However, he developed liver and renal failure with associated sepsis. Despite maximal support, he succumbed two weeks afterwards because of multi-organ failure. Histopathological examination of the liver and splenic specimens showed 'Pools of blood within the parenchyma intermixed with fibrin' confirming the diagnosis of peliosis hepatis and splenosis. | ||||||
| ||||||
| ||||||
|
| ||||||
|
Discussion
| ||||||
|
Peliosis affects parenchymatous organs and most commonly involves the liver. The condition is also known to occur in the lymph nodes, bone marrow, lungs, parathyroid gland, kidneys and as illustrated in our case, also the spleen. [3] This is a rare disorder and the reported incidence is 0.13%. [4] The presenting signs and symptoms are variable and generally non-specific. They range from asymptomatic and diagnosed incidentally to fatal outcomes. The patient of the present report presented with spontaneous rupture of the target organs causing hemoperitoneum and unfortunately resulted in mortality. Hepatomegaly, icterus and fever were the main and characteristic symptoms in extensive peliosis reported in literature. [5] The exact cause for peliosis is unknown but is associated with wasting conditions such as tuberculosis, acquired immunodeficiency syndrome (AIDS), post-transplant immunodeficiency, malignancies and hematological disorders. [6] Recent reports also show a strong association with medications including steroids, oral contraceptive pill, adrenal androgens and azathioprine. [7] In the present case, the diagnosis of peliosis was not suspected throughout the treatment course and therefore no investigation was performed to delineate the possible underlying causes. Only when the pathological results confirmed the diagnosis had the surgeons retrospectively review the case history. It was found that this patient was not put on any medications including steroid, immunosuppressant, contraceptive pill, adrenal androgens or azathioprine and none of those associated conditions was identified. Several theories exist regarding the pathogenesis of peliosis. Some favor congenital malformation of vessels or microcirculatory disturbances secondary to altered intravascular pressures for the development of the disease. [8] [9] [10] Others suspect that it is an acquired vascular disorder resulting from a toxic trigger (i.e., drugs). [11] [12] Radiological diagnosis is possible but findings are variable depending on the pathological patterns of the underlying disease and various stages of the blood components. Features on CT scan or magnetic resonance imaging (MRI) scan mimic those of hepatocellular carcinoma, a hypervascular metastases or hemangioma. [13] [14] [15] Peliosis should be considered when focal liver lesions exhibit radiological features of homogeneously high and persistent enhancement, slow centripetal enhancement, or persistently low enhancement. [16] In the present case, the CT scan was a standard emergent scanning and was different from the standard three-phrase scan for diagnosis of hepatocellular carcinoma. It revealed a hepatic intra-parenchymal and subcapsular hematoma, (Figure 1) . South-East Asia is an epidemic area for hepatocellular carcinoma and therefore, the diagnosis based on the CT scan at the time of presentation was ruptured hepatocellular carcinoma. Treatment options are determined by the underlying cause. When peliosis is caused secondary to medications, cessation of the offending medications can lead to regression. [4] This was not present in our patient. For patients presenting with rupture and subsequent intra-abdominal hemorrhage can be treated effectively with transarterial embolization, [17] which was one of the initial treatment modalities in our patient. The bleeding source was not identified in the angiogram and the hemodynamics continued to deteriorate that necessitated an emergent right hepatectomy. Before the formal pathology report was available, which could have guided the authors to search for other potential involving organs such as the spleen, our unfortunate patient had spontaneous rupture of the spleen. This episode became another massive hemorrhagic insult to our patient and subsequently ended in multi-organ failure. Although peliosis is a rare disease entity, one should have a high index of suspicion as one of underlying causes for spontaneous hemoperitoneum when common etiologies cannot account for the clinical picture. Retrospectively, splenectomy at the time of hepatectomy could have saved the patient for the second hemorrhagic insult but whether it was an appropriate decision at the moment of hepatectomy remained to be discussed. Liver transplantation is another reported therapeutic option for those who present with irreversible liver insufficiency and cirrhosis. [18] | ||||||
|
Conclusion
| ||||||
|
This case highlights that peliosis, although rare and generally asymptomatic, can present with life-threatening complications. Awareness that multiple organs can be affected is important as our patient presented with sequential rupture of his liver followed by the spleen. Peliosis should be a differential diagnosis when a hematoma within a parenchymatous organ cannot be explained. | ||||||
|
References
| ||||||
| ||||||
|
[HTML Abstract]
[PDF Full Text]
|
|
Author Contributions
Kevin Mo – Substantial contributions to conception and design, Acquisition of data, Analysis and interpretation of data, Drafting the article, Revising it critically for important intellectual content, Final approval of the version to be published Daniel Tong – Analysis and interpretation of data, Revising it critically for important intellectual content, Final approval of the version to be published Ronnie Poon – Analysis and interpretation of data, Revising it critically for important intellectual content, Final approval of the version to be published |
|
Guarantor of submission
The corresponding author is the guarantor of submission. |
|
Source of support
None |
|
Conflict of interest
Authors declare no conflict of interest. |
|
Copyright
© Kevin Mo et al. 2013; This article is distributed the terms of Creative Commons Attribution License which permits unrestricted use, distribution and reproduction in any means provided the original authors and original publisher are properly credited. (Please see Copyright Policy for more information.) |
|
|