Case Report
 
Benign or malignant? Extensive pulmonary metastasis of an intracranial meningioma–unique radiographic and histopathologic features
Roman Leonid Kleynberg1, Leonid Markus Kleynberg2, Vera M Kleynberg 3
1Resident in Internal Medicine, UCLA Olive View Residency Program.
2Hematologist/Oncologist, Brotman Medical Center.
3Hematologist/Oncologist, Encino-Tarzana Regional Medical Center.

doi:10.5348/ijcri-2012-09-175-CR-5

Address correspondence to:
Roman Leonid Kleynberg, MD
Department of Internal Medicine
14445 Olive View Drive
Sylmar, California
USA - 91342
Phone: 8186941690
Fax: 8187833268
Email: roman.kleynberg@ucla.edu

Access full text article on other devices

  Access PDF of article on other devices

[HTML Abstract]   [PDF Full Text] [Print This Article]
[Similar article in Pumed] [Similar article in Google Scholar]


How to cite this article:
Kleynberg RL, Kleynberg LM, Kleynberg VM. Benign or malignant? Extensive pulmonary metastasis of an intracranial meningioma–unique radiographic and histopathologic features. International Journal of Case Reports and Images 2012;3(9):17–20.


Abstract
Introduction: Meningiomas are slow growing benign tumors of the central nervous system. Although local recurrence does occasionally occur, extracranial metastasis of meningiomas is exceedingly rare and rarely reported, occurring in less than 1 per 1000 cases. Most commonly, metastasis occurs to the lung, and most cases of pulmonary cases are detected incidentally, followed by liver, lymph nodes, and bones.
Case Report: A 67-year-old Caucasian male with a past medical history of intracranial meningioma status-post resection and radiation treatment who developed multiple pulmonary metastases 29 years following complete cranial tumor resection. He presented to our hospital with respiratory failure and subsequent imaging revealed multiple pulmonary nodules in his chest. These lesions were biopsied: the final diagnosis was metastatic malignant meningioma. He developed mitral valve endocarditis and passed away from multi-system organ failure. Discussion: Extracranial metastasis of meningiomas is rare, occurring in approximately 0.1% of all meningioma cases. Several factors that are commonly associated with metastatic meningiomas include previous intracranial surgery for meningioma, dural sinus invasion, malignant histology, local recurrence, and a high Ki-67 labeling index.
Conclusion: A doctor must be able to obtain a good history in the initial evaluation of a patient–the facts of which can help in narrowing down the list of differential diagnosis. Therefore, although distant metastases is a rare event, the possibility of pulmonary metastasis nevertheless is real and must not be ignored in patients with a past history of meningioma presenting with pulmonary symptoms.

Key Words: Pulmonary metastasis, Intracranial meningioma.


Introduction

Meningiomas are slow growing benign tumors of the central nervous system. Although local recurrence does occasionally occur, extracranial metastasis of meningiomas is exceedingly rare and is rarely reported. A patient who developed multiple pulmonary metastases 29 years after a complete tumor resection is given here. He presented to our hospital with respiratory failure and subsequent imaging revealed multiple pulmonary nodules in his chest. These lesions were biopsied which resulted in the diagnosis of metastatic malignant meningioma. Therefore, although distant metastases is a rare event, the possibility of pulmonary metastasis nevertheless is real and must not be ignored nor overlooked in those patients with a past history of meningioma presenting with pulmonary symptoms.


Case Report

A patient (BZ) presented to our emergency department in the month of March 2011 with chest pain and dyspnea. He is a 67-year-old ex-smoker male with a past medical history significant for systemic hypertension, hyperlipidemia, coronary artery disease status post two vessel bypass surgery, history of congestive heart failure, mitral valve replacement in 1987, as well as a right-sided cerebral meningioma in 1979 status-post resection and radiation treatment. In 1982, BZ, then a 38-year-old, suffered a motor vehicle accident and underwent extensive brain surgery for treatment of complications from the accident. In late 1995, on a routine chest radiogram, multiple well-defined pulmonary nodules were discovered (no prior chest radiograms at the time were available for comparison). The nodules were subsequently biopsied and were found to be benign. A second biopsy one year later, in 1996 yielded the same results. The patients' pulmonary nodules were followed over a course of several years and they remained unchanged.

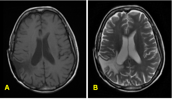
The patient did well during follow-up until 1999, when he was admitted for fatigue, weight loss and shortness of breath and was found to have lymphadenopathy. Subsequent imaging, blood analysis and biopsy confirmed the diagnosis of stage IV non-Hodgkin's lymphoma. He was then treated with CHOP systemic chemotherapy and went into remission. In March 2011, he presented to our emergency department with acute shortness of breath and a workup revealed acute mitral regurgitation as the underlying cause. During his stay at our facility, multiple pulmonary nodules were discovered on chest radiogram (Figure 1) and computed tomography (CT) scan showed multiple multilobar lung masses, measuring up to 8.4 cm x 5.3 cm. Magnetic resonance imaging (MRI) of the brain showed recurrent versus residual meningioma (Figure 2)– however this was not further biopsied. A left upper lobe nodule fine-needle aspiration revealed metastatic malignant meningioma via light microscopy (Figure 3) and immunohistochemistry staining (Figure 4). A surgical resection was indicated because of the doubling of one of the lung masses (RLL nodule from 3 cm x 3 cm to 3 cm x 6 cm in less than twelve months), in order to confirm the diagnosis. Again, metastatic malignant meningioma was confirmed by biopsy. PET scan showed multiple hypermetabolic lesions throughout the lung. Unfortunately, soon after, the patient deteriorated after developing mitral valve endocarditis and died from multi-system organ failure.


Cursor on image to zoom/Click text to open image
Figure 1: (A) Chest roentgenogram shows multiple pulmonary nodules, two in the right and two in the left lung lobes (marked off with measurements), (B) The chest computed tomography showing multilobar lung masses during a CT-guided fine needle aspiration of a right posteriomedial pleural mass.



Cursor on image to zoom/Click text to open image
Figure 2: Imaging of malignant meningioma. (A) Transverse magnetic resonance imaging T1-weighted postgadolinium image followed by, (B) Transverse T2-weighted postgadolinium image showing postsurgical changes status-post parietal-occipital craniotomy with extensive encephalomalcia (softening of cerebral tissue) and old hemorrhage in the right parietal region. Lobular tissue extending along the posterior falx presumably related to the patient's history of meningioma, suggesting residual/recurrent tumor.



Cursor on image to zoom/Click text to open image
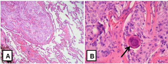
Figure 3: Light microscopy with hematolxin and eosin staining of metastatic malignant meningioma from lung biospy. (A) Whorled clusters of spindle cells, (B) Cells with a high mitotic index with a calcified psammoma body in center of image (arrow).



Cursor on image to zoom/Click text to open image
Figure 4: Immunohistochemistry tumor histiogenesis marker profile staining. (A) Vimentin stain, (B) Ki-67 stain, (C) CK-18 stain, (D) EMA stain. The IHC stain for Ki-67 demonstrates numerous high power field views showing greater than 5% nuclear labeling indicative of a high proliferative index tumor. Diffuse cytoplasmic and membrane uptake for epithelial membrane antigen is best seen in the whorls of cells in the center of the slide. Findings are consistent with metastatic malignant meningioma.



Discussion

Meningiomas are slow-growing benign tumors confined to the intracranial space and are generally treated with surgical removal. [1] Most originate from meningothelial cells of the arachnoid membrane, are slow-growing and correspond to 15–18% of all primary tumors of the central nervous system. [2] [3] Although local recurrence does occasionally occur, extracranial metastasis of meningiomas is exceedingly rare occurring in less than 1 per 1000 cases. [2] Most commonly, metastasis occurs to the lung, and most cases of pulmonary cases are detected incidentally, followed by liver, lymph nodes, and bones. [3] Several factors that are commonly associated with metastatic meningiomas include previous intracranial surgery for meningioma, dural sinus invasion, malignant histology, local recurrence, and a high Ki-67 labeling index. [3] [4] Extracranial metastatic lesions are most commonly found several years after the craniotomy. [5] In regards to potential mechanisms, it is possible that meningiomas can metastasize by microembolization, since the majority of meningiomas arise from the arachnoid cells along the arachnoid villi. Most cases of extracranial metastases from meningiomas occur after local recurrence or dural sinus invasion of primary meningiomas. By histology, the primary neoplasm and its metastasis appear benign and slow growing, with growth extending over several years. [6]

A definitive diagnosis for malignant meningioma is obtained by the incisonal/excisional biopsy and further histopathologic examination of the tissue. There exist no definitive criteria to predict the recurrence or metastases of meningioma and currently, histological grading, according to WHO criteria, is the most important predictor of malignancy. Furthermore, after tissue is obtained, a immunohistochemistry tumor histogenesis marker profile analysis is necessary to supplement the light microscopy findings (Figure 3). A CT scan should follow as a standard extracranial examination. In addition, a FDG-PET/CT in limited case reports has shown to be useful in characterizing the therapeutic response of extracranial metastatic meningiomas. An extensive review of literature yielded one case report which discussed the role of FDG-PET/CT and another paper discussed 111Indium (111In)-octreotide scintigraphy for assessing both CNS disease and extracranial metastases. [7] [8] However, until further evidence on these methods are obtained, total body CT scan to evaluate for extracranial metastasis is the standard of care.


Conclusion

Surgical resection is currently the gold standard for treatment of pulmonary metastatic meningiomas. [3] In addition, local control of primary intracranial meningiomas and en bloc resection of metastatic tumors confined to the lung are other options for management of the disease. [3] In conclusion, this case brings to the forefront two important points. The first is that in patients with a history of intracranial meningioma, the possibility of extrapulmonary metastatic meningiomas must be considered in those that present with pulmonary nodules. The second is that although surgical excision remains as the standard of care for patients with pulmonary metastatic meningiomas, chemotherapy may be beneficial in patients that cannot tolerate surgery, and follow-up with CT, FDG-PET/CT or 111In-octreotide scintigraphy is necessary in staging patients with metastatic meningioma who are considered for further treatment. Because of the rarity of metastatic meningiomas, no controlled study has been performed to establish a efficatious chemotherapeutic regimen for metastatic meningiomas, and only a single case has shown any efficacy of chemotherapy for metastatic meningiomas. [9] Therefore, to improve disease outcomes, further chemotherapy regimens must be explored and researched.


References
  1. Kepes JJ. Incidence, prevalence, and mortality of meningiomas in Kepes JJ: Meningiomas: Biology, Pathology and Differential Diagnosis, 2nd ed. Masson, New York, New York 1982:24–5.    Back to citation no. 1
  2. Erman T, Hanta I, Haciyakupoglu S, Zorludemir S, Zeren H, Gocer AI. Huge bilateral pulmonary and pleural metastasis from intracranial meningioma: a case report and review of the literature. J Neurooncol 2005;74:179–81.   [CrossRef]   [Pubmed]    Back to citation no. 2
  3. Teague SD, Conces DJ Jr. Metastatic meningioma to the lungs. J Thorac Imaging 2005;20(1):58–60.   [CrossRef]   [Pubmed]    Back to citation no. 3
  4. Ohta M, Iwaki T, Kitamoto T, Takeshita I, Tateishi J, Fukui M. MIB1 staining index and scoring of histologic features in meningiomas: indicators for the prediction of biologic potential and postoperative management. Cancer 1994;74:3176–89.   [CrossRef]   [Pubmed]    Back to citation no. 4
  5. Kodama K, Doi O, Higashiyama M, Horai T, Tateishi R, Nakagawa H. Primary and metastatic pulmonary meningioma. Cancer 1991;67:1412–7.   [CrossRef]   [Pubmed]    Back to citation no. 5
  6. Tao LC. Pulmonary metastases from intracranial meningioma diagnosed by aspiration biopsy cytology. Acfa Cytol 1991;35:524–8.   [Pubmed]    Back to citation no. 6
  7. Hutchins EB, Graves A, Shelton B. Meningioma metastatic to the lung detected by FDG positron emission tomography, Clin Nucl Med 2004;29:587–9.   [CrossRef]   [Pubmed]    Back to citation no. 7
  8. Alexandru D, Glantz MJ, Kim L, Chamberlain MC, Bota DA. Pulmonary metastases in patients with recurrent, treatment-resistant meningioma: prognosis and identification by Indium-octreotide imaging. Cancer 2011 Oct 1;117(19):4506–11.   [Pubmed]    Back to citation no. 8
  9. Travitzky M, Libson E, Nemirovsky I, Hadas I, Gabizon A. Doxil-induced regression of pleuro-pulmonary metastases in a patient with malignant meningioma, Anticancer Drugs 2003;14:247–50.   [CrossRef]   [Pubmed]    Back to citation no. 9

[HTML Abstract]   [PDF Full Text]

Author Contributions:
Roman Leonid Kleynberg – Conception and design, Acquisition of data, Analysis and interpretation of data, Drafting the article, Critical revision of the article, Final approval of the version to be published
Leonid Markus Kleynberg – Conception and design, Critical revision of the article, Final approval of the version to be published
Vera M Kleynberg – Acquisition of data, Drafting the article, Final approval of the version to be published
Guarantor of submission:
The corresponding author is the guarantor of submission.
Source of support:
None
Conflict of interest:
Authors declare no conflict of interest.
Copyright:
© Roman Leonid Kleynberg et al. 2012; This article is distributed the terms of Creative Commons Attribution License which permits unrestricted use, distribution and reproduction in any means provided the original authors and original publisher are properly credited. (Please see Copyright Policy for more information.)