Table of Contents    
Clinical Image
 
Giant thoracoabdominal aortic aneurysm
Bilal Ayub1, Shameer Ahmed1, Matthew W Martinez2
1MD, Cardiology Fellow, Division of Cardiology, Department of Medicine, Lehigh Valley Health Network, Allentown, PA, USA.
2MD, FACC, Medical Director, Hypertrophic Cardiomyopathy Center, Director, Cardiac Imaging Division of Cardiology, Lehigh Valley Health Network, Allentown, PA, USA.

doi:10.5348/ijcri-2012-08-169-CI-16

Address correspondence to:
Matthew W. Martinez, MD
Division of Cardiology, Lehigh Valley Health Network
1250 S Cedar Crest Blvd, Suite 300
llentown, Pennsylvania
USA 18103-6381
Phone: 00 - 1 - (610) 402-3110
Fax: 00 - 1 - (610) 402-3112
Email: matthew_w.martinez@lvhn.org

[HTML Abstract]   [PDF Full Text]

How to cite this article:
Ayub B, Ahmed S, Martinez MW. Giant thoracoabdominal aortic aneurysm. International Journal of Case Reports and Images 2012;3(8):60–61.



Case Report

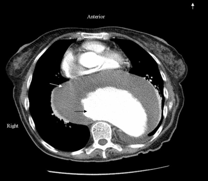
A 76-year-old female presented to primary care physician with a complaint of progressive dyspnea on exertion for three months. She denied chest pain, dizziness or back pain. She had been smoking two packs of cigarette per day for 50 years and had history of gastroesophageal reflux disease. Physical examination revealed decrease breath sounds in left lung field. Cardiac examination was unremarkable. Chest X-ray showed a large mass within the mediastinum and the left hemithorax (Figure 1). A contrast enhanced chest computed tomography scan demonstrated a large thoracoabdominal aortic aneurysm (TAA) measuring 11 cm at its greatest diameter in thorax compressing the left atrium (Figure 2). Circumferential thrombus was surrounding the true lumen but no contrast extravasation or leak was noticed. She was transferred urgently to our facility for further management. After complete preoperative work up repair of the thoracoabdominal aneurysm was planned.


Click below to enlarge
Figure 1: Chest X-ray showing a large mass within the mediastinum and the left hemithorax (arrow).



Click below to enlarge
Figure 2: Contrast enhanced CT scan demonstrating a large thoracoabdominal aortic aneurysm (black arrow) compressing the left atrium. Circumferential thrombus (white arrow) was surrounding the true lumen.



Discussion

The exact incidence of TAA is unknown but the adjusted incidence of TAA is closer to 2.2 per 100,000 person-year. [1] The 5-year survival of untreated TAA patients ranges from 7–20%. [1] Given this poor prognosis, early diagnosis of this condition becomes extremely important. Contrast-enhanced CT scanning is one of the preferred modalities to diagnose aortic aneurysm, determine its size and delineate the aortic anatomy. [2] The CT scan also provides detail information about the extraluminal structures which helps in planning the surgical intervention.


Conclusion

This case highlights the importance of this quick, readily available and noninvasive imaging technique in the diagnosis and management of TAA.


References
  1. Webb TH, Williams GM. Thoracoabdominal aneurysm repair. Cardiovasc Surg 1999;7(6):573-85.   [CrossRef]   [Pubmed]    Back to citation no. 1
  2. Isselbacher EM. Thoracic and abdominal aortic aneurysms. Circulation 2005;111(6):816-28.   [CrossRef]   [Pubmed]    Back to citation no. 2
[HTML Abstract]   [PDF Full Text]

Author Contributions:
Bilal Ayub – Acquisition of data, Drafting the article, Critical revision of the article, Final approval of the version to be published
Shameer Ahmed – Acquisition of data, Critical revision of the article, Final approval of the version to be published
Matthew W Martinez – Conception and design, Critical revision of the article, Final approval of the version to be published.
Guarantor of submission:
The corresponding author is the guarantor of submission.
Source of support:
None
Conflict of interest:
Authors declare no conflict of interest.
Copyright:
© Bilal Ayub et al. 2012; This article is distributed the terms of Creative Commons Attribution License which permits unrestricted use, distribution and reproduction in any means provided the original authors and original publisher are properly credited. (Please see Copyright Policy for more information.)