Table of Contents    
Clinical Image
 
Disseminated cryptococcus presenting as cellulitis in a liver transplant recipient
Jennifer Primeggia1, Pearlie Chong1, Princy Kumar1,2
1Infectious Diseases Fellow, Georgetown University Hospital, Department of Internal Medicine, Division of Infectious Diseases, Washington DC, USA.
2Chief and Fellowship Director, Division of Infectious Diseases, Professor of Medicine and Microbiology, Department of Medicine, Georgetown University Hospital, Department of Internal Medicine, Division of Infectious Diseases, Washington DC, USA.

doi:10.5348/ijcri-2012-08-168-CI-15

Address correspondence to:
Jennifer Primeggia
5PHC, 3800 Reservoir Rd NW
Washington DC 20007
USA
Phone: 001-202-444-0086
Fax: 001-1-877-665-8072
Email: jxprime@gmail.com

[HTML Abstract]   [PDF Full Text]

How to cite this article:
Primeggia J, Chong P, Kumar P. Disseminated cryptococcus presenting as cellulitis in a liver transplant recipient. International Journal of Case Reports and Images 2012;3(8):57–59.



Case Report

A 57-year-old African-American male presented to our hospital with a one week history of progressive right lower extremity pain and swelling, associated with fevers, chills and night sweats. Review of systems revealed a one week history of dry cough and right-sided pleuritic chest pain. He received an orthotopic liver transplant four months earlier at our institution for end stage liver disease and cirrhosis secondary to Hepatitis C. After transplantation, his maintenance immunosuppressive regimen included tacrolimus (2 mg every morning, 1 mg every evening), and mycophenolate mofetil (1000 mg twice daily). On admission, he was afebrile. His right lower extremity was exquisitely tender to palpation; erythema, warmth and 2+ pitting edema were also noted (Figure 1). No nodules, ulcers, pustules or papules were noted on the lower extremities. His white-blood-cell count was 9900 cells per uL, with 85% neutrophils and 2% bands. Radiography of the right lower extremity did not reveal a fracture and an ultrasound did not demonstrate a deep vein thrombosis. Chest X-ray revealed a new nodular density in the right mid-lung. Computed tomography (CT) scan of the chest was obtained and revealed multifocal pneumonia (Figure 2). Vancomycin and cefepime were initiated empirically for suspected bacterial cellulitis and pneumonia. Despite 48 hours of antibiotic therapy, the patient's symptoms failed to improve. Serum cryptococcal antigen was obtained and the titer was positive at 1:10. A skin biopsy was performed and revealed necrotizing granulomas, with the GMS stain revealing yeasts. Bronchoscopy and transbronchial biopsy also showed yeasts (Figure 3). C. neoformans was subsequently isolated from his bronchoalveolar lavage. Lumbar puncture was performed and the CSF was unremarkable. The patient received liposomal amphotericin B at 3 mg/kg per day for two weeks, during which time tacrolimus dosing was decreased by 50% and mycophenolate mofetil was discontinued. Improvement in cellulitis and pulmonary infiltrates was noted and he transitioned to oral fluconazole. His tacrolimus dosing remained reduced for the first three months of therapy as an outpatient. The patient completed a 12-month course of fluconazole and has not demonstrated relapse to date.


Click below to enlarge
Figure 1: Cellulitis of the patient's right lower extremity.



Click below to enlarge
Figure 2: Computed Tomography scan of the patient's chest demonstrating right-sided patchy infiltrates.



Click below to enlarge
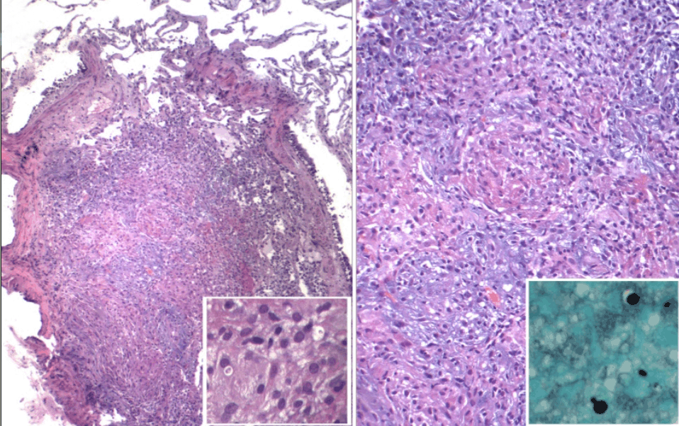
Figure 3: Histopathological image of a transbronchial biopsy: left shows organizing pneumonia with inset of Cryptococcus stained with Hematoxylin and Eosin (H&E), right is higher magnification with inset showing budding Cryptococcus stained with Gomori Methenamine Silver (GMS).



Discussion

In 2010, the Transplant-Associated Infection Surveillance Network identified Cryptococcus as the 3rd leading cause of invasive fungal infections in solid organ transplant recipients, with an incidence of 8% and a one-year mortality rate of 27%. [1] Although cryptococcal disease has a median onset of greater than one year post-transplantation, this varies with the type of organ transplanted; in the case of liver transplant recipients it is 8.8 months. [1] [2] While the majority of cryptococcal disease among solid organ transplant recipients is disseminated or involves the central nervous system, it may also present with skin, soft tissue or osteoarticular infection. [3]

Rates of skin and soft tissue infection have been reported in the range of 13–18%. [2] [4] A variety of manifestations have been reported: nodules, maculopapular lesions, ulcers, pustules, abscesses and cellulitis, with the most common site being the lower extremities. [2] Though cutaneous manifestations of <>i>Cryptococcus may represent hematogenous dissemination, the skin may also serve as a portal of entry. [3]

Calcineurin inhibitors are a mainstay of immunosuppression in solid organ transplantation. More recently, they have been postulated to impact upon the way cryptococcal disease manifests. [2] Although calcineurin inhibitors inhibit T-lymphocyte activation, thereby increasing the risk of fungal infections, tacrolimus has also been shown to have in vitro antifungal activity and has the ability to suppress fungal growth at higher temperatures. [2] It is speculated that this temperature-related inhibition is the reason why patients receiving a tacrolimus-based immunosuppressive regimen are less likely to have central nervous system involvement but are more likely to present with skin, soft-tissue and osteoarticular infection. [2]

Treatment of mild to moderate non-central nervous system disease is with fluconazole, whereas patients with disseminated disease require induction therapy with amphotericin B, along with a reduction in net immunosuppression. [5] When patients are clinically improved, they can be transitioned to maintenance fluconazole. With a 12-month survival rate of 75%, treatment of cryptococcosis generally results in a favorable outcome. [1]


Conclusion

Cutaneous cryptococccal infection may appear to be clinically indistinguishable from bacterial cellulitis. As the third most commonly occurring invasive fungal infection in solid organ transplant recipients, physicians should consider the diagnosis of C. neoformans in solid organ transplant recipients who present with cellulitis.


References
  1. Pappas PG, Alexander BD, Andes DR, et al. Invasive fungal infections among organ transplant recipients: results of the Transplant-Associated Infection Surveillance Network (TRANSNET). Clin Infect Dis 2010;50(8):1101–1.   [CrossRef]   [Pubmed]    Back to citation no. 1
  2. Husain S, Wagner M, Singh N. Cryptococcus neoformans infection in organ transplant recipients: variables influencing clinical characteristics and outcome. Emerg Infect Dis 2001;7(3):375–81.   [Pubmed]    Back to citation no. 2
  3. Singh N, Dromer F, Perfect JR, Lortholary O. Cryptococcosis in solid organ transplant recipients: current state of the science. Clin Infect Dis 2008;47(10):1321–7.   [CrossRef]   [Pubmed]    Back to citation no. 3
  4. Sun HY, Alexander BD, Lortholary O, et al. Cutaneous cryptococcosis in solid organ transplant recipients. Med Mycol 2010;48(6):785–91.   [CrossRef]   [Pubmed]    Back to citation no. 4
  5. Perfect JR, Dismukes WE, Dromer F, et al. Clinical practice guidelines for the management of cryptococcal disease: 2010 update by the infectious disease society of America. Clin Infect Dis 2010;50(3):291–322.   [CrossRef]   [Pubmed]    Back to citation no. 5
[HTML Abstract]   [PDF Full Text]

Author Contributions:
Jennifer Primeggia – Substantial contributions to conception and design, Analysis and interpretation of data, Drafting the article, revising it critically for important intellectual content, Final approval of the version to be published
Pearlie Chong – Substantial contributions to conception and design, analysis and acquisition of data data, Drafting the article, critically revising the article for important intellectual content, Final approval of the version to be published
Princy Kumar – Substantial contributions to conception and design, Drafting and critical revision of the article for important intellectual content, Final approval of the version to be published
Guarantor of submission:
The corresponding author is the guarantor of submission.
Source of support:
None
Conflict of interest:
Authors declare no conflict of interest.
Copyright:
© Jennifer Primeggia et al. 2012; This article is distributed the terms of Creative Commons Attribution License which permits unrestricted use, distribution and reproduction in any means provided the original authors and original publisher are properly credited. (Please see Copyright Policy for more information.)