Table of Contents    
Case Series
 
Catheter induced left main coronary artery stenosis: A rare complication of percutaneous coronary intervention
Muhammad Shamim Siddiqui1, yed Muhammad Faisal Hussain2, Bashir Hanif1,
1Consultant Cardiologist, Department of Cardiology, Tabba Heart Institute, Karachi, Sindh, Pakistan.
2Teaching Assistant, Department of Biological and Biomedical Sciences, Aga Khan University, Karachi, Sindh, Pakistan.

doi:10.5348/ijcri-2012-08-155-CS-2

Address correspondence to:
Syed Muhammad Faisal Hussain
A-33, Shaheen Heights
FL-9, Block-7, Gulshan-e-Iqbal
Karachi - 75300, Sindh
Pakistan
Phone: +92-21-34967212; Mob: +92-300-2356078
Email: smfaisalhussain@hotmail.com

[HTML Abstract]   [PDF Full Text]

How to cite this article:
Siddiqui MS, Hussain SMF, Hanif B. Catheter induced left main coronary artery stenosis: A rare complication of percutaneous coronary intervention. International Journal of Case Reports and Images 2012;3(8):5–9.


Abstract
Introduction: Iatrogenic left main coronary artery lesion following percutaneous coronary intervention (PCI) is a rare complication. Bashour et al. first reported this complication more than twenty-three years ago. Fortunately, this was one of only a handful of cases reported in literature, in spite of the thousands of procedures performed every year.
Case Series: We are reporting two cases of catheter induced left main coronary artery stenosis. One of the cases involved PCI to left anterior descending artery (LAD) and the 2nd to the left circumflex artery (LCX). Neither cases revealed significant plaque burden in the left main coronary artery (LMCA). The patients in both cases returned within three months with symptoms of angina, and were found to have critical left main disease, presumably induced by guide catheters. One patient underwent coronary artery bypass graft (CABG) and other had successful ostial left main PCI.
Conclusion: Catheter induced left main coronary artery disease is a rare but serious complication of PCI, and should always be considered in any patient that returns with chest pain following PCI. Particular attention should be paid to catheter and device manipulation during the procedure to avoid this potentially calamitous complication.

Key Words: Coronary artery stenosis, Iatrogenic vessel injury


Introduction

Although recent clinical experience indicates a high success rate, percutaneous coronary intervention (PCI) is still associated with serious complications which usually occur during or shortly after the procedure. With recent increase in utilization of advanced technology, such as intravascular ultrasound (IVUS) and optical coherence tomography (OCT), serious complications, such as significant left main coronary artery stenosis, can now be more effectively identified. Harper et al. reported two cases of subacute progression within months of left main stenosis following successful, uncomplicated left anterior descending (LAD) coronary PCI. [1] This rare complication of coronary intervention is procedure-induced coronary stenosis resulting from endothelial injury by the guide catheter and equipment.


Case Series

Case 1: A 55-year-old diabetic and hypertensive male presented with angina, with a Canadian Cardiovascular Society (CCS) score of three. His diagnostic coronary angiogram showed 30–40% lesion in proximal left main stem, critical disease in mid-LAD and diagonal branch (bifurcation lesion), moderate disease in mid-right coronary artery (RCA) and normal left ventricular systolic function (Figure 1). He underwent PCI to LAD and diagonal. A 7 French EBU (Medtronic, Inc. Minneapolis, USA) guide catheter was selected. Both LAD and diagonal branch were wired and predilated with a 2x15 mm Sequent balloon (B Braun, Melsungen, Germany) and a 2.5x33 Cypher Select plus stent (Cordis, Johnson and Johnson, USA) was deployed in proximal to mid-LAD at 16 ATM. A bare metal stent 2.5x9 mm Clear flex (Clear Stream Technologies Ltd. Wexford, Ireland) was deployed distal to the first stent to cover the remaining stenosis. Finally, diagonal branch was dilated across the stent struts. During the procedure guide position was carefully watched.

Six weeks after PCI, this patient presented with progressively worsening angina over a two-week period. A repeat angiogram was performed, in anticipation of significant restenosis and it showed an unexpected result, revealing critical disease in ostial left main and patent stents (Figures 2 and 3). Urgent CABG was recommended, but patient refused to undergo surgery. Risks of PCI to left main coronary artery were explained in detail. A 7 French JL 4 guide catheter was selected and guide wire was advanced into distal LAD. Left main lesion was predilated with a 3x13 mm Nimbus Salvo balloon (Clear Stream Technologies Ltd. Wexford, Ireland) and a 4x16 mm (BMS) Clear flex (Clear Stream Technologies Ltd. Wexford, Ireland) was deployed in proximal left main at 18 ATM and post dilated with a 4.5x18 mm Power Sail complaint balloon (Guidant, corporation, Santa Clara USA). End result was successful with TIMI 3 flow distally without any complications. The patient incurred no complications following the procedure.


Click below to enlarge
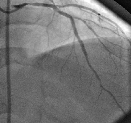
Figure 1: Diagnostic angiogram LAO caudal view showing plaquing in left main coronary artery with significant disease in mid-left anterior descending coronary artery (Case 1).



Click below to enlarge
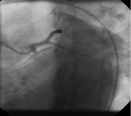
Figure 2: Antero-posterior cranial view showing critical disease in body of left main coronary artery (Case 1).



Click below to enlarge
Figure 3: LAO caudal view showing critical disease in body of left main coronary artery (Case 1).


Case 2 A 45-year-old male, with history of smoking and dyslipidemia, underwent coronary angiogram at another hospital four months earlier for worsening angina. He had critical lesions in mid-RCA and left circumflex artery (LCX). Left main artery was normal (Figure 4). He underwent PCI to RCA and LCX. A 7 Fr. XB 3.0 guide (Launcher, Medtronic, and Minneapolis, USA) was selected for intervention on LCX and 3x24 mm and 3.5x12 mm TaxusTM Express stents (Boston Scientific Corporation, Natick, USA) were deployed in LCX and obtuse marginal branch. This patient reported back to the hospital with worsening anginal symptoms for the last 1 week. He underwent coronary angiogram which showed critical lesion in distal left main, in-stent restenosis with total occlusion in LCX stent and patent RCA stent (Figure 5 and Figure 6). He underwent CABG and subsequently incurred no complications following the procedure.


Click below to enlarge
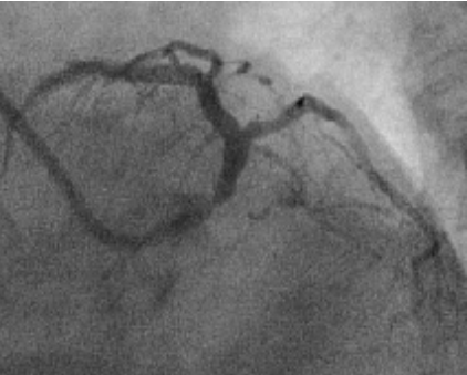
Figure 4: Diagnostic angiogram LAO caudal view showing plaquing in left main coronary artery with significant disease in LAD (Case 2).



Click below to enlarge
Figure 5: LAO caudal view showing critical disease in distal left main stem. (Case 2).



Click below to enlarge
Figure 6: Antero-posterior cranial view showing critical disease in distal left main stem (Case 2).



Discussion

Catheter-induced damage of left main coronary artery is one of the rare, albeit serious, complications of PCI. The pathogenesis is likely related to response to trauma induced by the guide catheter and other instruments used in PCI. [2] In 1987, Pap et al. described that manipulation of left coronary artery by 7 French catheters in dogs led to almost universal denudation which is most severe in coronary ostia. [3] The acute response is followed by intimal proliferation seen days to weeks later. This response may be mediated by growth factors, especially fibroblast growth factor-2 (PGF-2). [4] It has also been demonstrated that atherosclerotic lesions developed in aorta of normocholestrolemic rabbits subjected to balloon catheter showed de-endothelialization. [5] Waller et al. histologically examined left main coronary arteries of 11 patients who died within 72 hours of PCI and demonstrated focal loss of luminal endothelium in nine subjects. In the light of these observations, it is indeed remarkable that clinically significant disease of left main artery following intervention on left coronary system is seen so infrequently. It was reported more frequently in the era when larger guide catheters were used (size 8F or above), for example, Slack et al. reported this in three of their 440 patients who underwent PCI in early 1980s. [6] Similarly, Iwasaki et al. reported this rare complication in 1 out of 160 patients. [7] They also showed that this complication was not related to guide catheter to the left main coronary artery (LMCA) diameter ratio, the angle of the tip portion of the guide catheter with LMCA, or the severity of the target lesion. It was considered that repetitive sliding of guide catheter through the LMCA caused subangiographic intimal trauma and facilitated subsequent progression of stenosis. In the more advanced era of stents and more "miniaturized" hardware, this complication is reported less often. Hamby et al., reported six cases who developed proximal lesion in stented vessel (1.4% of all the patients who underwent PCI with Palmaz-Shatz stent). [8] This involved three lesions in RCA, one in Saphenous vein graft, one in ostial LAD and one in left main artery. In two patients, the lesion possibly resulted from excessive guide manipulation. In the other three, the proximal segment of stented vessel had mild irregularity or calcification. According to authors, this incidence was five times the incidence of similar complication seen with balloon angioplasty alone. More manipulation of the guide to deliver the stents at the intended sites and unsheathing of stents were given as possible reasons for these lesions. The stents which are now available have significantly improved profile. Interventionists are doing more challenging cases today and they are frequently forced to "deep throat" the guide in order to deliver the stents and other hardware. This rare complication can still occur in such situations, especially if left main artery is diseased. Our second patient developed critical lesion in distal left main artery which was normal four months earlier. This is extremely rare as catheter induced left main artery disease is usually ostial in location.

The recurrence of angina-type pain within a few months of successful coronary angioplasty is usually indicative of a diagnosis of coronary re-stenosis. Guerin et al. reported a case of critical stenosis of the left major coronary trunk a few months after angioplasty of the circumflex artery. [9] The onset of stenosis of this type leads to suspicion of the possible role of traumatic lesion of the wall of major trunk by the guide catheter. [10] Acceleration of LMCA stenosis was induced by guide catheter which was used for coronary angioplasty of subtotal lesion in LAD. The LMCA had mild stenosis (18% reduction of luminal diameter) which was unchanged during the course of PTCA. Due to the rigid lesion in LAD the guide catheter was pushed repeatedly with considerable force for introducing balloon catheter. Progression of LMCA stenosis to 64% was demonstrated at six months in later angiographic restudy. It was proposed that repetitive sliding of guide catheter through the LMCA caused subangiographic intimal trauma and facilitated subsequent progression of stenosis. [9]


Conclusion

Catheter induced left main coronary artery disease is a rare but well documented life threatening complication of PCI. The most accepted pathogenesis behind it is repetitive sliding of guide catheter through the LMCA, leading to subangiographic intimal trauma and subsequent progression to stenosis. Even though the stents now available have significantly improved the profile, the possibility of this serious complication should always be considered in any patient that returns with chest pain after PCI. Appropriate revascularization should be achieved emergently to decrease morbidity, mortality, and length of hospital stay. However, iatrogenic LMCA stenosis should be avoided in the first place, and meticulous attention should be paid to catheter and device manipulation during each diagnostic or interventional procedure.


References
  1. Harper JM, Shah Y, Kern MJ, Vandormael MG. Progression of left main coronary artery stenosis following left anterior descending coronary artery angioplasty. Cathet Cardiovasc Diagn 1987 Nov-Dec;13(6):398–400.   [CrossRef]   [Pubmed]    Back to citation no. 1
  2. Waller BF, Pinkerton CA, Foster LN. Morphologic evidence of accelerated left main coronary artery stenosis: a late complication of percutaneous transluminal balloon angioplasty of the proximal left anterior descending coronary artery. J Am Coll Cardiol 1987 May;9(5):1019–23.   [CrossRef]   [Pubmed]    Back to citation no. 2
  3. Pap JM. Catheter-induced intimal injury during routine coronary catheterization in dogs. Cathet Cardiovasc Diagn 1987 Jan-Feb;13(1):57–3.   [CrossRef]   [Pubmed]    Back to citation no. 3
  4. Reidy MA, Fingerle J, Lindner V. Factors controlling the development of arterial lesions after injury. Circulation 1992 Dec;86(6 Suppl):III43–6.   [Pubmed]    Back to citation no. 4
  5. Moore S. Endothelial injury and atherosclerosis. Exp Mol Pathol 1979 Aug;31(1):182–90.   [CrossRef]   [Pubmed]    Back to citation no. 5
  6. Slack JD, Pinkerton CA. Subacute left main coronary stenosis: an unusual but serious complication of percutaneous transluminal coronary angioplasty. Angiology 1985 Feb;36(2):130–6.   [CrossRef]   [Pubmed]    Back to citation no. 6
  7. Iwasaki K, Kusachi S, Nishiyama O, et al. [Acceleration of the left main coronary artery stenosis following PTCA: a report of a case]. Kokyu To Junkan 1989 Feb;37(2):215–9.   [Pubmed]    Back to citation no. 7
  8. Hamby RI, Petrossian GA, Lituchy AE. Iatrogenic coronary artery stenosis following coronary stenting. Catheter Cardiovasc Interv 1999 Apr;46(4):393-7.   [CrossRef]   [Pubmed]    Back to citation no. 8
  9. Guerin Y, Lablanche JM, Bauters C, Leroy F, Bertrand ME. [Stenosis of the common trunk of the left coronary artery: an unusual complication of percutaneous coronary angioplasty]. Ann Cardiol Angeiol (Paris) 1992 Feb;41(2):83–6.   [Pubmed]    Back to citation no. 9
  10. Bashour TT, Hanna ES, Edgett J, Geiger J. Iatrogenic left main coronary artery stenosis following PTCA or valve replacement. Clin Cardiol 1985 Feb;8(2):114–7.   [CrossRef]   [Pubmed]    Back to citation no. 10
[HTML Abstract]   [PDF Full Text]

Author Contributions:
Muhammad Shamim Siddiqui – Substantial contributions to conception and design, Acquisition of data, Drafting the article, revising it critically for important intellectual content, Final approval of the version to be published
Syed Muhammad Faisal Hussain – Substantial contributions to conception and design, Acquisition of data, Drafting the article, revising it critically for important intellectual content, Final approval of the version to be published
Bashir Hanif – Substantial contributions to conception and design, Drafting the article, Final approval of the version to be published
Guarantor of submission:
The corresponding author is the guarantor of submission.
Source of support:
None
Conflict of interest:
Authors declare no conflict of interest.
Copyright:
© Muhammad Shamim Siddiqui et al. 2012; This article is distributed the terms of Creative Commons Attribution License which permits unrestricted use, distribution and reproduction in any means provided the original authors and original publisher are properly credited. (Please see Copyright Policy for more information.)