Table of Contents    
Case Report
 
Right atrial thrombus derived from inferior vena cava after liver transplantation
Erdal Aktürk1, Jülide Yağmur2, Halil Ataş2, Necip Ermis2 Nusret Acikgoz2 Mehmet Cansel2
1Adiyaman University, Faculty of Medicine, Department of Cardiology, Adiyaman/Turkey.
2Inonu University, Faculty of Medicine, Department of Cardiology, Malatya/Turkey.

doi:10.5348/ijcri-2012-07-152-CR-13

Address correspondence to:
Erdal Aktürk
Cardiology Department
Adiyaman/Turkey
Phone: +0090 422 3410660, ext. 4500, Gsm: 5335480167
Fax: +0090 422 3412708
Email: erdalakturk@hotmail.com

[HTML Abstract]   [PDF Full Text]

How to cite this article:
Aktürk E, Yağmur J, Ataş H, Ermis N, Acikgoz N, Cansel M. Right atrial thrombus derived from inferior vena cava after liver transplantation. International Journal of Case Reports and Images 2012;3(7):52–55.


Abstract
Introduction: Right-sided cardiac thrombi may develop due to secondary causes. Their incidence is very low and only a few case reports of right atrial (RA) thrombi exit in literature.
Case Report: We report the case of a 56-year-old patient with orthotopic liver transplantation (OLT) about six months back, who was admitted to our clinic with symptoms of worsening chest pain and shortness of breath. Two and three-dimensional transthoracic echocardiography (3DTTE) and transesophageal echocardiogram (TEE) showed a mobile right atrial thrombus 3.9×1.8 cm in size, traversing the right atrial cavity during the whole cardiac cycle. After one week of therapeutic anticoagulation, the thrombus began to shrink and after three weeks echocardiography confirmed no evidence of residual thrombus.
Conclusion: In contrast to previously reported cases of massive RA thrombosis developing intraoperatively during OLT, in our case a RA thrombus developed six months after OLT. The right atrial thrombus was derived from inferior vena cava.

Key Words: Liver transplantation, Right atrial thrombus, Echocardiography


Introduction

Cardiac thrombi constitute only a fraction of cardiac masses. Left-sided cardiac thrombi are often associated with myocardial infarction, dilated cardiomyopathy or mitral valve disease. On the other hand, right-sided cardiac thrombi may arise due to secondary causes. Their incidence is low and only a few case reports of right atrial (RA) thrombus have been described in literature. [1] [2] [3] We report a case of mobile right atrial thrombus diagnosed by two and three-dimensional transthoracic echocardiography (TTE).

This is the first case report in which a combination of radiologic methods were used for the assessment of right atrial thrombus which developed in inferior vena cava (IVC).


Case Report

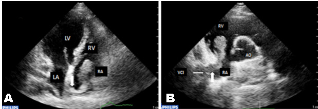
A 53-year-old female patient was admitted to our center because of dyspnea and chest pain. She had a previous history of diabetes mellitus (DM) and had orthotopic liver transplantation (OLT) six months back because of hepatitis B virus (HBV) infection. She presented with a three-week history of chest pain and progressive shortness of breath. Cardiac auscultation was unremarkable, body temperature was 37°C, blood pressure was 130/85 mmHg, heart rate was 85 beats per minute. Respiratory examination and electrocardiogram were normal. Laboratory tests pro-NT brain natriuretic peptide and D-dimer were normal. Lung scan excluded pulmonary embolism. The chest X-ray and computed tomography (CT) scan were normal. CT scan showed a 3.5x1.5x2.5 cm mass in the right atrium near IVC orifice. There was no evidence of deep vein thrombosis on duplex scanning and V/Q scan was negative. Echocardiography showed that the mobile right atrial mass was highly suspicious of a thrombus traversing the right atrial cavity during the cardiac cycle. It was accompanied with free-floating parts of the thrombi. It vertically stretched in the RA and during diastole touched the tricuspid valve (Figures 1A, B). 3DTTE was performed to further confirm the nature of mass. It showed a highly mobile homogenous thrombus, irregular in contour, measuring 3.9×1.8 cm, which originated from IVC and protruding into the RA cavity (Figure 2A). Patient was started on low molecular weight heparin and warfarin. Warfarin dose was adjusted to INR ratio 2–3. The patient had an uneventful hospital course and after one weeks, follow-up the thrombus began to shrink. After three weeks, echocardiography confirmed no evidence of residual thrombus (Figure 2B).


Click below to enlarge
Figure 1: A mass in the right atrium, A) Apical 4-chamber view by TTE, arrow showing stalk of thrombus derived from interior, B) Parasternal short axis view by TTE, thin arrow shows interior vena cava and thick arrow shows stalk of thrombus.



Click below to enlarge
Figure 2: Mobile mass in the right atrium. A) 3DTEE shows a highly mobile thrombus, homogenous, irregular in contour, measuring 3.9×1.8 cm, arrow showing echo-lucent area, B) Follow up after three weeks of anticoagulation. Apical 4-chamber view TTE view shows complete disappearance of the thrombi. (LV = left ventricle; RA = right atrium; RV = right ventricle, LA=left atrium, IVC= inferior vena cava).



Discussion

There are few previous published reports of spontaneous right atrial thrombus after interventional procedures such as central venous catheter and transvenous pacing leads as well as in patients with multisystem inflammatory diseases such as Bechet's syndrome, systemic lupus erythomatosis, crohn's disease, [4] [5] constructive pericarditis, [6] 5-fluorouracil cardiotoxicity, [7] dilated cardiomyopathy [8] and diffuse liver amoebiasis. [9] Hypercoagulable state caused by diseases or peripheral venous clots in bedridden patient may cause a thrombus which embolizes to the right heart. This type of thrombus presents leads to a higher mortality with a risk of potential fragmentation and causing massive pulmonary embolization. [10] [11] Despite previously reported massive RA thrombosis intraoperatively on OLT, [12] a RA thrombus developing months after OLT has not been reported. The cardiac evaluation by TTE was normal before liver transplantation and for this reason the diagnosis of a cardiac tumor was excluded. We considered the diagnosis of a thrombus based on the patient's clinical and echocardiogram findings.

This case did not have a predisposing condition for a thrombus to form in the right atrium. RA thrombus may be related to a tendency of thrombosis due to technical problems associated with the vascular anastomoses or DM causing chronic platelet stimulation.

TTE can help to estimate cardiac structure, function and assess the hemodynamic effects, whereas 3DTTE adds valuable benefits as it can provide complete information about intracardiac masses including size, shape, consistency, mobility and location in relation to cardiac anatomical structures. It allows to differentiate the thrombus from other masses (e.g. cardiac tumors, vegetations) by revealing lobula and stalk of thrombus, hyperechogenicity or hypoerechogenicity and an echo-lucent area (the echo-lucent area in the centre of the mass in our case was indicative of clot lysis).


Conclusion

In summary, this case suggests that in patients presenting with shortness of breath or other non-specific complaints after OTL, assessment by echocardiography is very important. During the echocardiography examination of these patients right atrium and inferior vena cana must be carefully evaluated.


References
  1. London AR, Runge PJ, Balsin RF, et al. Large right atrial thrombi surrounding permanent transvenous pacemaker. Circulation 1969;39:661–4.   [Pubmed]    Back to citation no. 1
  2. Pliam MB, Mc Gough EC, Nixon GW, et al. Right atrial ball-valve thrombus: a complication of central venous alimentation in an infant. Diagnosis and successful surgical management of a case. J Thorac Cardiovasc Surg 1979;78:579–82.   [Pubmed]    Back to citation no. 2
  3. Nugert GR, Lucus R, Judy M, et al. Thromboembolie complications in ventriculoatrial shunts. J Neurosurg 1966;24:34–6.    Back to citation no. 3
  4. Cemri M, Erkan A, Ozdemir M, Cengel A. Behcet's disease with a large free right atrial thrombus. Eur J Echocardiogr 2002;3:233–5.   [CrossRef]   [Pubmed]    Back to citation no. 4
  5. Vacca A, Garau P, Meloni L, et al. Right atrial thrombosis in systemic lupus erythomatosis. Clin Exp Rheumatol 2001;19:761.   [Pubmed]    Back to citation no. 5
  6. Tsunehiko Nishimura, Toshihiro Misawa, Yung-Dae Park, Toshiisa Uehara, Kohei Hayashida, and Makoto Hayashi. Visualization of Right Atrial ThrombusAssociated with Constrictiva Pericarditis by Indium-111 Oxine Platelet Imaging. J Nuci Med 1987;28:1344–7.   [Pubmed]    Back to citation no. 6
  7. Kinova E, Zlatareva N, Goudev A. Right atrial thrombus from inferior vena cava after acute cardiotoxicity of 5-fluorouracil. Cardiol J 2008;15(3):284–5.   [Pubmed]    Back to citation no. 7
  8. Bai W, Li H, Zhang Q, Rao L. Assessment right atrial thrombus by real-time three dimensional transthoracic echocardiography in patient with dilated cardiomyopathy. Cardiovascular Ultrasound 2011;9:12.   [CrossRef]   [Pubmed]    Back to citation no. 8
  9. Barcat D, Constans J, Jarnier P, Le Métayer P, Gosse P, Conri C. Thrombosis of the inferior vena caval and right atrium in amoebic abscess of the liver Arch Mal Coeur Vaiss 1998 Feb;91(2):271–3.   [Pubmed]    Back to citation no. 9
  10. Mollazadeh R, Ostovan MA, Abdi Ardekani AR: Right cardiac thrombus in transit among patients with pulmonary thromboemboli. Clin Cardiol 2009 Jun;32:e27–31.   [CrossRef]   [Pubmed]    Back to citation no. 10
  11. Cracowski JL, Tremel F, Baguet JP, Mallion JM. Thrombolysis of mobile right atrial thrombi following severepulmonary embolism. Clin Cardiol 1999;22:151–4.   [CrossRef]   [Pubmed]    Back to citation no. 11
  12. Sibulesky L, Peiris P, Taner CB, Kramer DJ, Canabal JM, Nguyen JH. Intraoperative intracardiac thrombosis in a liver transplant patient. World J Hepatol 2010 May 27;2(5):198–200.   [Pubmed]    Back to citation no. 12
[HTML Abstract]   [PDF Full Text]

Author Contributions:
Erdal Aktürk - Substancial contribution to the conception and design, Acquisition of data, Analysis and interpretation of data, Drafting the article, Revising it critically for important intellectual content, Final approval of data
Jülide Yağmur - Substancial contribution to the conception and design, Analysis and interpretation of data, Drafting the article, Revising it critically for important intellectual content, Final approval of data
Halil Ataş - Substancial contribution to the conception and design, Revising it critically for important intellectual content, Final approval of version to be published
Necip Ermis - Analysis and interpretation of data, Revising it critically for important intellectual content, Final approval of version to be published
Nusret Acikgoz - Acquisition of data, Drafting the article, Revising it critically for important intellectual content, Final approval of data
Mehmet Cansel - Acquisition of data, Drafting the article, Revising it critically for important intellectual content, Final approval of data
Guarantor of submission:
The corresponding author is the guarantor of submission.
Source of support:
None
Conflict of interest:
Authors declare no conflict of interest.
Copyright:
© Erdal Aktürk et al. 2012; This article is distributed the terms of Creative Commons Attribution License which permits unrestricted use, distribution and reproduction in any means provided the original authors and original publisher are properly credited. (Please see Copyright Policy for more information.)