Table of Contents    
Case Report
 
Myelofibrosis secondary to tuberculosis in a child with Down's syndrome: A case report
Prem Singh1, Ankita Goyal1, Deeba Mushtaq1, Jyoti Bala1
1Department of Pathology, M M Institute of Medical Sciences and Research, Mullana (Ambala), Haryana, India - 133207.

doi:10.5348/ijcri-2012-07-148-CR-9

Address correspondence to:
Dr. Prem Singh
Department of Pathology, M M Institute of Medical Sciences and Research
Mullana (Ambala)
Haryana
India - 133207
Phone: 08950204113
Email: premsingh011@rediffmail.com

[HTML Abstract]   [PDF Full Text]

How to cite this article:
Singh P, Goyal A, Mushtaq D, Bala J. Myelofibrosis secondary to tuberculosis in a child with Down's syndrome : A case report. International Journal of Case Reports and Images 2012;3(7):35–38.


Abstract
Introduction: Tuberculosis and myelofibrosis (MF) are reported to co-exist. There seems to be a definite relationship between the two entities, possibly tuberculosis stimulating a secondary fibrotic reaction. Occurrence of myelofibrosis in Down's syndrome has also been increasingly recognized. The purpose of this article is to present a unique case of Down's syndrome who developed myelofibrosis secondary to tuberculosis of the bone marrow.
Case Report: A 14-years-old female child, already a documented case of Down's syndrome, proved on cytogenetic analysis, reported to our institute with fever of five days duration and bleeding from nose and mouth. Clinical examination revealed features of Down's syndrome and hematological parameters showed pancytopenia. Bone marrow aspiration revealed a dry tap. Bone marrow biopsy showed hypocellular marrow with tubercular granulomas and increased bone marrow reticulin fibres, findings compatible with myelofi brosis secondary to tuberculosis.
Conclusion: Myelofibrosis in paediatric age group is usually secondary to an underlying disease entity of haematopoietic or non- haematopoietic origin. Among the non- haematopoietic diseases, tuberculosis shows a frequent association. Moreover, the patients of Down's syndrome have disturbances of hematopoiesis with an increased incidence of myeloproliferative disorders like myelofibrosis. Such patients suffering from other diseases like tuberculosis are more prone to develop myelofibrosis as seen from the present case report. A detailed investigation and extensive search for evidence of tuberculosis should be made in these children presenting with myelofibrosis.

Key Words: Myelofibrosis, Tuberculosis, Down's syndrome


Introduction

Myelofibrosis is a hematological disorder, characterized by fibrosis and hypercellularity in the bone marrow. [1] Myelofibrosis is a secondary disorder associated with benign or malignant hematopoietic diseases. In other cases where no infective or other cause is found, it is considered idiopathic in origin. Among the non-hematopoietic diseases which cause or occur concomitantly with myelofibrosis, tuberculosis shows a frequent association, suggesting a possible relationship between the two entities. [2] MF is rare in children. Fewer than 100 cases of pediatric MF have been reported worldwide. Approximately half of these published cases occurred in children younger than three years and were often associated with Down's syndrome or rickets. Among the older children hematologic malignancies and tuberculosis formed the bulk of disorders causing MF. [3] Tuberculosis and myelofibrosis have been reported concomitantly often enough to raise the possibility that a relationship occurs between the two entities. However, it is still not clear whether tuberculosis stimulates a secondary fibrotic reaction or develops in the patient who has pre-existing myeloproliferative disorder. [4] Donhauser, who first reported myelofibirosis in American literature, was of the view that tuberculosis causes significant hematological disorders. [5] Tuberculosis of bone marrow is invariably secondary to a primary focus in the lung which may heal spontaneously and even disappear. Some experimental studies have indicated that myelofibrosis can be induced in experimental animals by tubercle bacilli or their products. [6] The patients of Down's syndrome may have hematopoietic disturbances, most likely due to instability in the control of bone marrow proliferation, which results in the temporary disorders of the neonatal period, increased incidence and earlier onset of childhood leukemia and myeloproliferative disorders. [7]


Case Report

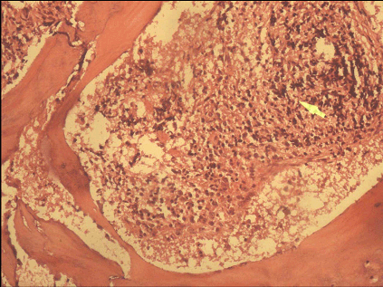
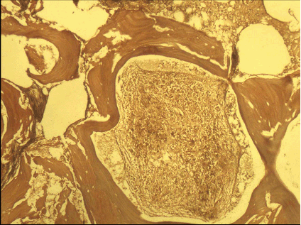
A 14-years-old female child, already a documented case of Down's syndrome proved on cytogenetic analysis, presented to our institute with fever of five days duration associated with bleeding from nose and mouth. Clinical examination of the patient revealed features of Down's syndrome like short stature, macroglossia, low set ears, simian crease and delayed milestones. Abdominal examination revealed palpable splenomegaly two cm below the costal margin. There was no hepatomegaly. Her hematological parameters showed hemoglobin of 3.2 g/dl, total leukocyte count of 3x103/mm3 with normal differential count and platelet count of 2x105/mm3. Examination of blood film did not reveal any immature cells. Erythrocyte sedimentation rate was 84 mm/1st hr. The biochemical parameters were within normal range. She was subjected to bone marrow examination. Bone marrow aspiration revealed a dry tap. Bone marrow biopsy revealed a hypocellular marrow showing presence of granulomatous inflammation consisting of epithelioid cells, Langhan's giant cells, lymphocytes and plasma cells with central areas of caseation necrosis (Figure 1, 2). Ziehl-Neelsen (ZN) staining for AFB was positive. Areas of marked fibrosis with pockets of increased number of megakaryocytes and fibroblasts were present. Reticulin stain showed increased bone marrow reticulin fibres (Figure 3), thus supporting the diagnosis of myelofibrosis. There was no evidence of any leukemic involvement. Since the patient hailed from tuberculous endemic area, diagnosis of myelofibrosis secondary to tuberculosis was contemplated. The patient was put on a course of antitubercular treatment (ATT). Unfortunately she was lost to follow up; therefore repeat bone marrow biopsy could not be done to assess the course of the disease.


Click below to enlarge
Figure 1: Bone Marrow biopsy, the hematopoietic elements are replaced by granulomas and areas of fibrosis. (H&E, x400).



Click below to enlarge
Figure 2: Higher magnification showing granulomatous infiltrate replacing the hematopoietic cells. (H&E, x200).



Click below to enlarge
Figure 3: Bone Marrow biopsy showing increased bone marrow reticulin fibres (Gomori-methamine silver, x100).


Discussion

Tuberculosis and myelofibrosis have been reported concomitantly. Reports of co-existence of myeloproliferative disorders with tuberculosis was first described 70 years ago and has been widely discussed in literature since then. [8] As compared to the general population, frequency of tuberculosis is 2–2.5 times higher worldwide among the patients with myelofibrosis than in general population. [9] Tassies D et al. in a series of 562 patients, highlighted that myelofibrosis is statistically significantly higher in frequency in patients of tuberculosis than in general population. [10] The pathogenetic mechanism that links myelofibrosis and tuberculosis remains unclear but the possible role of transforming growth factor-β (TGF-β) has been postulated in the pathophysiologic process as its levels are elevated in the bone marrow as well as in the peripheral circulation, suggesting its potential role in causing myelofibrosis. [1] [4] M. tuberculosis induces blood monocytes to synthesize TGF-β which is expressed in Langhan's giant cells and epithelioid cells in tuberculous pulmonary granulomas and in monocytes of patients with active tuberculosis. [11] Subsequently the fibroblasts induced synthesis of collagen matrix, decreased synthesis of collagenase-like proteases, and attraction of fibroblasts to the infection site by TGF-β may promote fibrosis in the BM. [1] It has been proved experimentally that the tubercle bacilli or their products serving as a trigger mechanism, provoke marked proliferation of reticulo-endothelial tissue which may induce myelofibrosis in such cases. [12] Our patient did not have any evidence of pulmonary or visceral tuberculosis. On detailed investigations no evidence of involvement of pulmonary or other extra-pulmonary sites by tuberculosis, except for bone marrow was found, suggesting the possibility that the extramedullary lesions may have healed spontaneously. The patients of Down's syndrome may also develop myelofibrosis and there seems to be distinct association between the two entities. [3] The prognosis of childhood myelofibrosis is variable and depends upon underlying causative disorder. With appropriate and prompt treatment of causative factors like tuberculosis and ricketes it is known to resolve completely. [3] The prognosis in patients of Down's syndrome is poor and guarded as they are reported to have shortened survival. These patients usually progress to hematologic malignancy [13]. Also, these cases may represent a clonal disorder with genetic instability allowing evolution to a more aggressive malignancy. [13] The prognosis in our patient could not be judged following ATT since the child was lost to follow up.


Conclusion

Childhood myelofibrosis is usually associated with an underlying disease entity. The patients of Down's syndrome suffering from other diseases like tuberculosis are more prone to develop myelofibrosis. A detailed investigation and extensive search for evidence of tuberculosis should be made specially in older children with Down's syndrome presenting with myelofibrosis.


References
  1. Le Bousse-Kerdiles MC, Martyré MC. Myelofibrosis: pathogenesis of myelofibrosis with myeloid metaplasia. French INSERM Research Network on Myelofibrosis with Myeloid Metaplasia. Springer Semin Immunopathol 1999;21:491–8.   [Pubmed]    Back to citation no. 1
  2. Hashim MS, Kordofani AY, el Dabi MA. Tuberculosis and myelofibrosis in children: a report. Ann Trop Paediatr 1997;17:61–5.   [Pubmed]    Back to citation no. 2
  3. Malla K, Malla T, Thaplial A. Myelofibrosis in a Child with Tuberculosis: A case Report. J Nepal Paediatr 2007;27(2):90–2.    Back to citation no. 3
  4. Viallard JF, Parrens M, Boiron JM, Texier J, Mercie P, Pellegrin JL. Reversible myelofibrosis induced by Tuberculosis. Clin Infect Dis 2002;34(12):1641–3.   [CrossRef]   [Pubmed]    Back to citation no. 4
  5. Donhauser JL. Human spleen as haematoplastic organ as exemplified in case of splenomegaly with sclerosis of bone marrow. J Exp Med 1908;10:559–74.   [CrossRef]   [Pubmed]    Back to citation no. 5
  6. Feldman WH, Stasney J. Leukemoid response of tuberculous rabbits to administration of tuberculin. Amer J Med Sci 1937 Jan;193:28–38.   [CrossRef]    Back to citation no. 6
  7. Evans DI. Acute myelofibrosis in children with Down's syndrome. Arch Dis Child 1975 Jun;50(6):458–62.   [CrossRef]   [Pubmed]    Back to citation no. 7
  8. Crail HW, Alt HL, Nadler WH. Myelofibrosis associated with tuberculosis: a report of four cases. Blood 1948;3:1426–4.   [Pubmed]    Back to citation no. 8
  9. Morrow LB, Anderson RE. Active tuberculosis in leukaemia, malignant lymphoma and myelofibrosis. Arch Pathol 1965;79:484–93.   [Pubmed]    Back to citation no. 9
  10. Tassies D, Cervantes F, Nicolas JM, Feliu E, Soriano E, Rozman C. Tuberculosis in chronic myeloproliferative syndromes: its incidence and principle characteristics in a series of 562 patients. Med Clin (Barc) 1991;96:321–3.   [Pubmed]    Back to citation no. 10
  11. Hirsch CS, Yoneda T, Averill L, Ellner JJ, Toossi Z. Enhancement of intracellular growth of Mycobacterium tuberculosis in human monocyte by transforming growth factor- β. J Infect Dis 1994;170:1229–37.   [Pubmed]    Back to citation no. 11
  12. Andre J, Schwartz R, Dameshek W. Tuberculosis and myelosclerosis with myeloid metaplasia; report of three cases. JAMA 1961 Dec 30;178:1169–74.   [CrossRef]   [Pubmed]    Back to citation no. 12
  13. Noor-Fadzilah Z, Leong C, Sabariah MN, Cheong SK. Childhood idiopathic myelofibrosis: a case report and review of Literature. Malaysian J Pathol 2009;31(2):129–32.   [Pubmed]    Back to citation no. 13
[HTML Abstract]   [PDF Full Text]

Author Contributions:
Prem Singh - Acquisition of data, Analysis and interpretation of data, Drafting the article, Critical revision of the article, Final approval of the version to be published
Ankita Goyal - Analysis and interpretation of data, Conception and design, Critical revision of the article, Final approval of the version to be published
Deeba Mushtaq - Acquisition of data, Drafting the article, Critical revision of the article, Final approval of the version to be published
Jyoti Bala - Analysis and interpretation of data, Critical revision of the article, Final approval of the version to be published
Guarantor of submission:
The corresponding author is the guarantor of submission.
Source of support:
None
Conflict of interest:
Authors declare no conflict of interest.
Copyright:
© Prem Singh et al. 2012; This article is distributed the terms of Creative Commons Attribution License which permits unrestricted use, distribution and reproduction in any means provided the original authors and original publisher are properly credited. (Please see Copyright Policy for more information.)