Table of Contents    
Case Report
 
Successful stenting of all three branches in a patient with single anomalous coronary artery arising from the left sinus of valsalva: A case report
Ali Ozeren1, Ismail Ates1, Turgut Karabağ2
1Belediye Hastanesi, Department of Cardiology, Konya/Turkey.
2Zonguldak Karaelmas University, Faculty of Medicine, Department of Cardiology, Zonguldak/Turkey.

doi:10.5348/ijcri-2012-07-144-CR-5

Address correspondence to:
Turgut Karabag
Karaelmas Universitesi Tip Fakultesi
Kardiyoloji Bolumu
67600-Kozlu-Zonguldak/Turkey
Phone: +90 372 2571517
Fax: +90 372 2577395
Email: turgutkarabag@hotmail.com

[HTML Abstract]   [PDF Full Text]

How to cite this article:
Ozeren A, Ates I, Karabag T. Successful stenting of all three branches in a patient with single anomalous coronary artery arising from the left sinus of valsalva: A case report. International Journal of Case Reports and Images 2012;3(7):19–22.


Abstract
Introduction: Single coronary artery with diffuse aterosclerothic disease is an extremely rare anomaly. The therapeuthic options of these case are controversial.
Case Report: We report a case of 53-year-old man with recent anterior myocardial infarction and post-infarction angina, in whom coronary angiography showed one coronary artery arising from a single ostium in the left sinus of Valsalva giving rise to all branches and severe atherosclerotic coronary disease. The patient underwent successful percutaneous transluminal coronary angioplasty and stenting of all three branches without any complication.
Conclusion: Stenting, as an alternative to coronary artery bypass grafting, has become an increasingly attractive option for treatment of stenosis of anomalous coronaries because the long-term results of bypass are less than ideal. For selected cases with adequate guiding support, stenting of atherosclerotic stenosis of the anomalous coronary arteries may be preferrable to surgery.

Key Words: Single coronary artery, Stenting


Introduction

Single coronary artery (SCA) is an extremely rare anomaly and has been reported to have an incidence of 0.017% in angiographic series. [1] Stenting in an anomalous coronary artery could technically be challenging, as cannulating the anomalous vessel with the guiding catheter and proving enough support can be difficult. Accordingly, there are few reports in literature of SCA anomaly in which successful stenting of one vessel was performed. [2] [3] We present here the first case of all three coronaries stented in a patient with SCA.


Case Report

A 53-year-old male applied to the hospital with typical chest pain. He had anterior myocardial infarction (MI) 20 days ago and was referred to our hospital for coronary angiography due to post-MI angina. Risk factors for coronary artery disease included hypercholesterolemia and cigarette smoking. Blood pressure was 100/70 mmHg and heart rate was 90 beats/min. Physical examination was within normal limits except for a third heart sound. Electrocardiography showed sinus rhythm, previous anterior MI and 2–3 mm concave ST segment elevation on precordial leads. Transthoracic echocardiogram revealed decreased left ventricular systolic performance with a left ventricular ejection fraction of 30% and akinesia of anterolateral wall and apex.

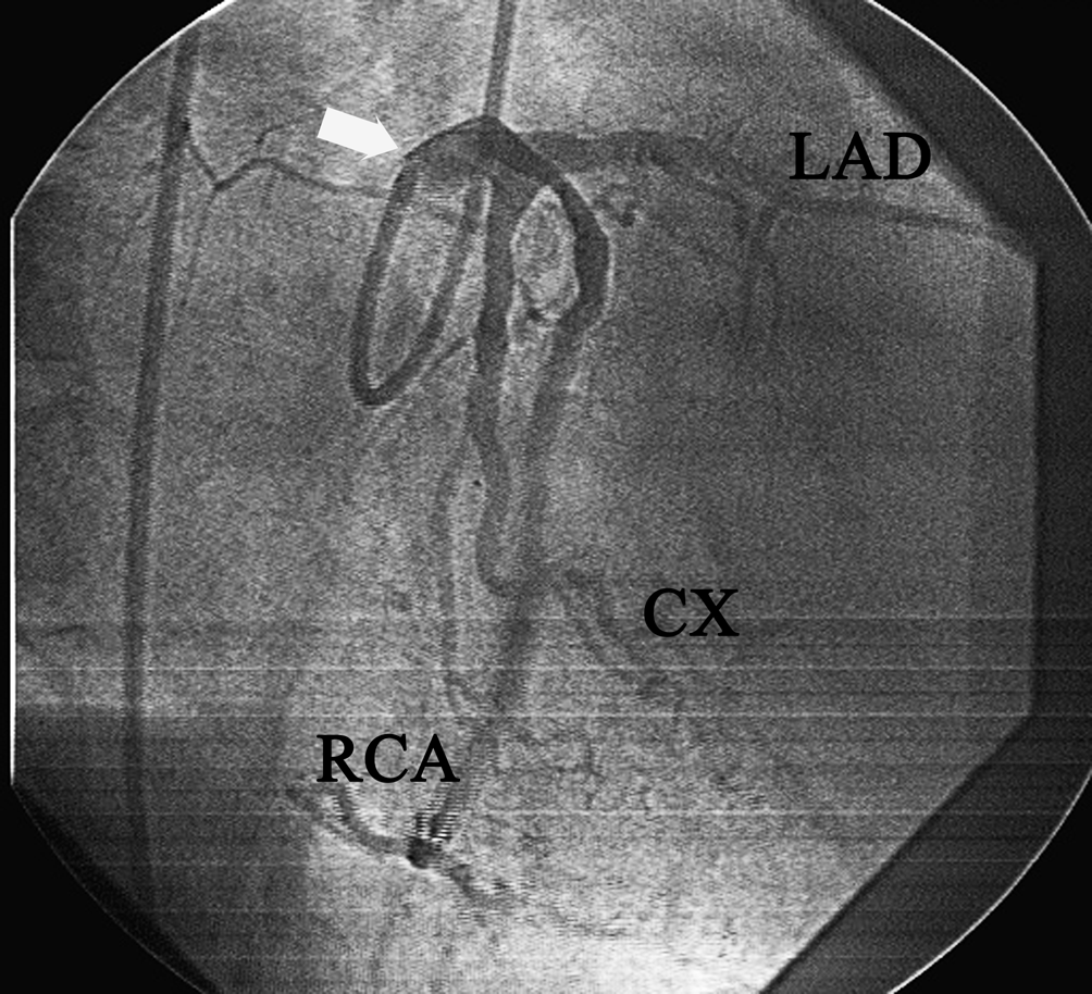
Coronary angiography demonstrated single coronary artery which was a short left main artery and it divided into three branches: left anterior descending (LAD), left circumflex (LCx) and right coronary arteries (RCA). The SCA was originating from the left coronary sinus (CS) via single ostium, classifiable as a Lipton L-I A (Figure 1). Selective angiography did not demonstrate any vessel originating from the right CS. All the coronary branches originated from a single ostium located in the left coronary cusp and had a normal course and distribution. Both the LAD and LCx branches had a normal anterior course and gave rise to the diagonal, septal and obtuse marginal branches, respectively. RCA branch arose from left main trunk and had a normal course and distribution. All of the coronary branches had diffuse atherosclerotic disease (Figure 1). Angiography showed 100% thrombotic occlusion of LAD in the proximal region, 80% stenosis of proximal LCx and 85% stenosis of mid segment of anomalous RCA. Additionally there was a long 90% stenosis due to myocardial bridging in mid portion LAD. Left ventricular systolic function was poor. We thought that the infarct related artery was the thrombotic totally occluded LAD. No other associated cardiac anomaly was detected by cardiac catheterization or echocardiography. Thus it was decided to refer the patient for operation because of three vessel disease and decreased systolic function. The cardiology-cardiovascular surgeons decided on percutaneous interventions of the artery lesions because of high risk of surgery.

We used a 6F FL4 Judkins diagnostic catheter for the angiogram. Optimal catheter positioning was achieved with a 3.5 cm, curved left Judkins 7-F extra back-up guiding catheter (Boston Scientific, Minn). A 0.014-inch intermediate guide-wire (Boston Scientific, Minn) was selected and advanced into the LAD. Following pre-dilatation using a balloon catheter, a 3.5×20 mm Ephesos stent (Medistar, Istanbul, Turkey) was deployed at 16 atm. The procedure resulted in adequate stent expansion and excellent angiographic distal flow without any complications. The LCx lesion was crossed with a floppy wire and direct stenting was performed as per protocol of our center. The lesion was stented with a 3.5×18 mm Ephesos stent (Medistar, Istanbul, Turkey) at 14 atm pressure. There was no residual lesion following stent deployment. The immediate post-procedure stay of the patient was uneventful and he was discharged two days later on regular medicines.

In a second session scheduled one week later, the lesion of the RCA was treated by primary stenting (Figure 2). The RCA was cannulated by the same type of catheter as used previously and the lesion was crossed through with the same type of floppy wire and a 4.0×13 mm Ephesos stent (Medistar, Istanbul, Turkey) was implanted at 16 atm. The patient tolerated the procedure well and was discharged one day after the procedure.

We followed the patient for six months during which he was on medical therapy (aspirin, clopidogrel, carvedilol, statin and standard heart failure therapy). In this period the patient was pain-free and control stress test results revealed no inducible ischemia.


Click below to enlarge
Figure 1: Diagnostic coronary angiography showing stenosis of all three coronary arteries of single coronary anomaly before stenting (Right anterior oblique projection) (arrow indicates left main trunk).



Click below to enlarge
Figure 2: Selective coronary angiography of single coronary after stenting (Right anterior oblique projection) (arrow indicates left main trunk).



Discussion

An isolated SCA is considered potentially dangerous because it can cause cardiac ischemia, congestive heart failure, and sudden cardiac death. [4] [5] Although several researchers in the past believed that aberrancy predisposes this vessel to accelerated atherosclerosis, this could not get wide acceptance owing to lack of convincing data. [6] Even without atherosclerosis, ischemia can be a consequence of anatomical malformations, including the acute angle take-off of the anomalous vessel, with a narrowed slit-like orifice that collapses in a valve like manner, thereby limiting the blood flow in these patients. Other anatomical features responsible for ischemia are the proximal intramural course of the anomalous vessel, which is squeezed within the aortic wall and the compression of the anomalous vessel along its course between the aorta and the pulmonary artery, particularly during exercise. [1] [4]

Stenting, as an alternative to coronary artery bypass grafting, has become an increasingly attractive option for treatment of stenosis of anomalous coronary arteries because the long-term results of bypass are less than ideal. [7] The selective cannulation of anomalous arteries is a challenge because a good point of support is needed for vascular interventions. Other aspects to be considered are the configuration of the ostium, angle, initial trajectory, location of the lesion, and device to be used. [8] Thus, there are only a few reports in literature because of rarity of such lesions and technical difficulty of the procedure. In our case we rejected the option of bypass surgery and decided to do the percutaneous intervention due to high risk of surgery.

When the SCA arises from left CS, only RCA has anomalous origin and course as in our case. The small curved left Judkins and left Amplatz catheters are the most frequently used ones to provide the best support in this type RCA. [9] A Voda or hockey stick guide may be appropriate in some cases. [10] Appropriate guiding catheter selection decreases procedure time in stenting and thus increases the success rate. A Boston Scientific 6F-FL4-XB guiding catheter obtained good support for intervention in our case. This catheter is superior to others in point of view back-up support. It provided the maximum support required for the smooth passage of stents. In the present case we used the same type of catheter to perform stenting of all three arteries.

In patients with complex lesions and inadequate guiding support for the femoral approach, radial root approach may be required as an alternative [5]. In our case, we selected femoral approach because procedure time directly relates to the post-procedure complication rate and procedure time using femoral root is shorter than radial root.


Conclusion

To conclude, in selected cases with adequate guiding support, stenting of the atherosclerotic stenosis of the anomalous coronary arteries is preferrable to bypass surgery if the anomalous orifice of the artery and the atherosclerotic lesion is reachable.


References
  1. Angelini P. Coronary artery anomalies–current clinical issues: definitions, classification, incidence, clinical relevance, and treatment guidelines. Tex Heart Inst J 2002;29:271–8.   [Pubmed]    Back to citation no. 1
  2. Stefenelli T, Wutte M, Madl C, Weissel M. Emergency angioplasty and stent deployment for acute occlusion of an anomalous single coronary artery (all three coronary arteries from one ostium in the right sinus of Valsalva). Wien Klin Wochenschr 2001;113:138–40.   [Pubmed]    Back to citation no. 2
  3. Tejada JG, Albarran A, Velazquez MT, Sanz J, Pindado C, Tascon JC. Direct stenting in single coronary artery arising from the left sinus of Valsalva--a case report. Angiology 2002 Nov-Dec;53(6):733–6.   [CrossRef]   [Pubmed]    Back to citation no. 3
  4. Basso C, Maron BJ, Corrado D, Thiene G. Clinical Profile of Congenital Coronary Artery Anomalies With Origin From the Wrong Aortic Sinus Leading to Sudden Death in Young Competitive Athletes. J Am Coll Cardiol 2000;35:1493–501.   [CrossRef]   [Pubmed]    Back to citation no. 4
  5. Turhan H, Duru E, Yetkin E, Atak R, Senen K. Right coronary artery originating from distal left circumflex: an extremely rare variety of single coronary artery. Int J Cardiol 2003;88:309–11.   [CrossRef]   [Pubmed]    Back to citation no. 5
  6. Samarendra P, Kumari S, Hafeez M, Vasavada BC, Sacchi TJ. Anomalous circumflex coronary artery: benign or predisposed to selective atherosclerosis. Angiology 2001;52:521–6.   [CrossRef]   [Pubmed]    Back to citation no. 6
  7. Hariharan R, Kacere RD, Angelini P. Can stent-angioplasty be a valid alternative to surgery when revascularization is indicated for anomalous origination of a coronary artery from the opposite sinus? Tex Heart Inst J 2002;29:308–13.   [Pubmed]    Back to citation no. 7
  8. Alvarez De La Fuente LM, Serrano Aisa P, Aguaron Lopez V, Peleato Peleato A. stenting of right coronary artery arising from the left sinus of Valsalva. Rev Esp Cardiol 2002;55:68–70.   [Pubmed]    Back to citation no. 8
  9. Patel TM, Shah SC, Ranjan A, Gupta AK. Direct coronary stenting through the radial approach in an anomalous coronary artery. Indian Heart J 2002;54:422–4.   [Pubmed]    Back to citation no. 9
  10. Praharaj TK, Ray G. Percutaneous transluminal coronary angioplasty with stenting of anomalous right coronary artery originating from left sinus of Valsalva using the Voda guiding catheter: a report of two cases. Indian Heart J 2001;53:79–82.   [Pubmed]    Back to citation no. 10
[HTML Abstract]   [PDF Full Text]

Author Contributions:
Ali Ozeren - Substantial contributions to conception and design, acquisition of data, drafting the article, revising it critically for important intellectual content, final approval of the version to be published
Ismail Ates - Substantial contributions to conception and design, acquisition of data, drafting the article, revising it critically for important intellectual content, final approval of the version to be published
Turgut Karabağ - Substantial contributions to conception and design, acquisition of data, drafting the article, revising it critically for important intellectual content, final approval of the version to be published
Guarantor of submission:
The corresponding author is the guarantor of submission.
Source of support:
None
Conflict of interest:
Authors declare no conflict of interest.
Copyright:
© Ali Ozeren et al. 2012; This article is distributed the terms of Creative Commons Attribution License which permits unrestricted use, distribution and reproduction in any means provided the original authors and original publisher are properly credited. (Please see Copyright Policy for more information.)