Table of Contents    
Case Report
 
Peripheral ossifying fibroma: A case report
Killi V Prabhakar Rao1, Penmatsa Tanuja2, M Narendra Reddy2
1Professor-Department of Periodontics, GITAM Dental College and Hospital, Vishakhapatnam, Andhra Pradesh, India.
2Reader-Department of Periodontics, GITAM Dental College and Hospital, Vishakhapatnam, Andhra Pradesh, India.

doi:10.5348/ijcri-2012-2012-07-142-CR-3

Address correspondence to:
Dr. Penmatsa Tanuja
C/O. P.V.S.S. Raju, Opp. Sarovar Hotel
47-11-20/6, Dwarakanagar
Vishakhapatnam, Andhra Pradesh
India - 530016
Phone: 91 9441313131
Fax: +91 891 2790033
Email: drtanujap@rediffmail.com

[HTML Abstract]   [PDF Full Text]

How to cite this article:
Rao KVP, Tanuja P, Reddy MN. Peripheral ossifying fibroma: A case report. International Journal of Case Reports and Images 2012;3(7):11–14.


Abstract
Introduction: Peripheral ossifying fibroma (POF) is a common solitary gingival overgrowth thought to arise from the gingival corium, periosteum and periodontal ligament (PDL). Commonly used synonyms for POF include calcifying fibroblastic granuloma, peripheral fibroma with calcification, peripheral cementifying fibroma, and calcifying or ossifying fibrous epulis.
Case Report: This article presents a case of peripheral ossifying fibroma in a 25-year-old female along with the clinical, histopathologic, and treatment details.
Conclusion: Ossifying fibroma occurs mostly in craniofacial bones, the peripheral type shows a contiguous relationship with the PDL, occurring solely on the soft tissues overlying the alveolar process. The reasons for considering a PDL origin for POF include: exclusive occurrence of POF in the gingiva (interdental papilla); the proximity of the gingival lesion to the periodontal ligament; the presence of oxytalan fibers within the mineralized matrix of some lesions. A slowly growing soft-tissue mass with speckled calcifications in the anterior oral cavity of young adults or children should raise a suspicion of a reactive gingival lesion such as POF. The etiology of POF is unclear. POF should be treated by total excision to prevent recurrence.

Key Words: Peripheral ossifying fibroma, Gingival overgrowth, Diagnosis, Treatment


Introduction

Peripheral ossifying fibroma (POF) is a non-neoplastic enlargement of gingiva that is classified as a reactive hyperplastic inflammatory lesion. A common gingival growth, it is typically seen on the interdental papilla and is believed to comprise about 9% of all gingival growths. Females are more commonly affected, and anterior maxilla is the most prevalent location of involvement. [1] The majority of lesions occur during second decade, with a declining incidence in later years. [2] POFs are usually less than 1.5 cm in diameter and the diagnosis can be made by clinical inspection and biopsy. [3] Histologically, this malady is a non-capsulated mass of cellular fibrous connective tissue with randomly distributed calcifications and/or mature bone. [2] The etiology of POF is unclear. Trauma or local irritants such as plaque, calculus, microorganisms, masticatory forces, ill-fitting dentures, and poor-quality restorations are all known to precipitate the development of POF. [4] After the elimination of local etiological factors, surgical excision is the preferred treatment.


Case Report

A 25-year-old Indian female patient reported to the Department of Periodontics with complaint of a painless gingival growth in relation to her lower right front teeth. The swelling started as a small nodule that progressed gradually to the present size within a span of one month. The patient did not give any history of trauma, injury or food impaction and there was no significant medical history.

An intraoral examination revealed generalized pink gingiva with a well-demarcated, non-tender, firm, focal, sessile nodular growth arising from the interdental papilla of the mandibular right central and lateral incisors lingually. Owing to the pressure from the tongue, the lesion has progressively become flat in appearance. The oval-shaped mass was 2.5x3 cm in size, with a reddish pink color, smooth surface, and distinct edges (Figure 1). Bleeding on probing was noted. Clinically, differential diagnoses for the growth were pyogenic granuloma, peripheral odontogenic fibroma, fibroma and peripheral giant cell granuloma. Because of patient's sex, age, location, colour and consistency of the lesion, a provisional diagnosis of pyogenic granuloma was made for the gingival growth. Oral hygiene instructions were given to the patient and oral prophylaxis was done. After two weeks, the growth was excised conservatively to prevent the development of an unsightly gingival defect in the anterior maxilla, followed by root planing and curettage (Figure 2). The excised tissue was sent for histopathologic examination. The excised tissue was oval, 2.5x3 cm in size, reddish pink and firm in consistency on inspection. While grossing the tissue, slight grittiness was felt. The patient was called after one week for removal of dressing and showed uneventful healing. After six months, recurrence of the growth was not observed (Figure 3).

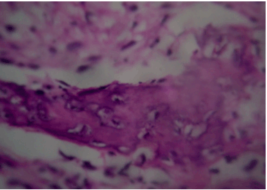
Histologically, the specimen showed parakeratinized stratified squamous epithelium and underlying connective tissue, which was composed of densely packed collagen fibers and fibroblasts. Deeper areas showed the presence of multiple irregular calcified areas and osteoblastic rimming. Patchy distribution of chronic inflammatory cells was seen (Figure 4). Histologically, the specimen was suggestive of peripheral ossifying fibroma/peripheral calcifying fibroma. Based on clinical and histological findings, the lesion was diagnosed as POF.


Click below to enlarge
Figure 1: Pre-operative picture showing well-demarcated, non-tender, firm, focal, sessile nodular growth.



Click below to enlarge
Figure 2: Immediate post-operative picture.



Click below to enlarge
Figure 3: At six months, recurrence of the growth was not observed.



Click below to enlarge
Figure 4: Fibroblastic cells undergoing differentiation showing ossification, osteoblasts are also seen (H&E, x400).



Discussion

Ossifying fibroma occurs mostly in craniofacial bones and is generally categorized into two types: central and peripheral. [5] The central type of ossifying fibroma arises from the endosteum or the periodontal ligament (PDL) adjacent to the root apex and expands from the medullary cavity of the bone. On the other hand, the peripheral type shows a contiguous relationship with the PDL, occurring solely on the soft tissues overlying the alveolar process.

The reasons for considering a PDL origin for POF include: exclusive occurrence of POF in the gingiva (interdental papilla); the proximity of the gingival lesion to the periodontal ligament; the presence of oxytalan fibers within the mineralized matrix of some lesions; age distribution, which is inversely related to the number of lost permanent teeth; and the fibrocellular response in POF, which is similar to the other reactive gingival lesions of PDL origin. [6]

POF is a fairly common lesion, comprising nearly 1% to 3% of oral lesions biopsied in various reports. [1] [3] Clinically, the POF presents as an exophytic, smooth surfaced, pink or red nodular mass that is sessile; it is also less frequently seen on a pedicle. [7] Approximately 60% of POFs occur in females with predilection for maxilla, and more than 50% of all cases occur in the incisor-cuspid region. Migration of teeth with interdental bone destruction has been reported in some cases. [8] Roentgenographically, in a vast majority of cases there is no apparent visible underlying bone involvement. On rare occasions, there appears to be superficial erosion of bone. In the present case, underlying bone involvement was not observed.

While the etiology of POF is unclear, inflammatory hyperplasia originating in the superficial PDL is considered to be a factor in POF's causation. [3] Orkin and Amaidas [9] suggested that excessive proliferation of mature fibrous connective tissue is a response to gingival injury or gingival irritations, subgingival calculus or a foreign body in the gingival sulcus and dental appliances and restorations. In addition, factors such as a high female predilection and a peak occurrence in the second decade of life suggest hormonal influences. The pathogenesis of POF remains controversial. Chronic irritation of the periosteal and periodontal membrane causes metaplasia of the connective tissue, which initiates formation of bone or dystrophic calcification. [9] In the present case, plaque and calculus along with hormonal influences due to the patient's age and sex might have been the cause for the gingival growth.

Clinical differential diagnosis for gingival growths includes fibroma, peripheral giant cell granuloma, pyogenic granuloma, peripheral odontogenic fibroma, and peripheral ossifying fibroma. The definitive diagnosis of POF is made by histologic evaluation of biopsy specimen. Histologically, the key feature of this lesion is exceedingly cellular mass of connective tissue comprising large number of plump, proliferating fibroblasts intermingled throughout with delicate fibrillar stroma. Buchner et al. [2] observed that the mineralized tissues observed in POF can be of three basic types: 1) bone that may be woven, lamellar or trabecular, sometimes surrounded by osteoid, 2) cementum-like material that appears as spherical bodies resembling cementum or large acellular round-to-oval eosinophilic bodies, which seemed to have coalesced to form islands in various sizes and shapes, 3) dystrophic calcification, which can range from small clusters of minute basophilic granules or tiny globules to large, solid irregular masses. The surface of POF exhibits either an intact or, more frequently, an ulcerated layer of stratified squamous epithelium. On occasion, areas will be found containing multinucleated giant cells that, with the surrounding tissue, bear considerable resemblance to some areas of peripheral giant cell granuloma.

Surgical excision is the preferred choice of treatment for POF. The recurrence rate of POF is high, varying from 7–45%, [3] which may reflect the technique and philosophy of surgical management. In addition, any identifiable irritant such as an ill-fitting dental appliance and rough restoration should be removed. [10] However, Walters et al. [10] also stated that total excision of the lesion in the maxillary anterior region can result in an unsightly gingival defect unless appropriate efforts are taken to repair the periosteal defects. Various surgical techniques like lateral sliding full thickness or partial thickness flap, subepithelial connective tissue graft or coronally positioned flap may be used to manage this defect and minimize patient esthetic concerns.


Conclusion

In conclusion, the etiology of POF is unclear, inflammatory hyperplasia originating in the superficial PDL is considered to be a factor. The POF presents as an exophytic, smooth surfaced, pink or red nodular mass that is sessile. Histopathologic examination is essential for accurate diagnosis. Once diagnosed, POF should be treated by total excision to prevent recurrence.


References
  1. Bhaskar SN, Jacoway JR. Peripheral fibroma and peripheral fibroma with calcification: report of 376 cases. J Am Dent Assoc 1966;73(6):1312–20.   [Pubmed]    Back to citation no. 1
  2. Buchner A, Hansen LS. The histomorphologic spectrum of peripheral ossifying fibroma. Oral Surg Oral Med Oral Pathol 1987;63(4):452–61.   [CrossRef]   [Pubmed]    Back to citation no. 2
  3. Cuisia ZE, Brannon RB. Peripheral ossifying fibroma–a clinical evaluation of 134 pediatric cases. Pediatr Dent 2001;23(3):245–8.   [Pubmed]    Back to citation no. 3
  4. Gardner DG. The peripheral odontogenic fibroma: an attempt at clarification. Oral Surg Oral Med Oral Pathol 1982;54(1):40–8.   [CrossRef]   [Pubmed]    Back to citation no. 4
  5. Saito I, Ide F, Inoue M, et al. Periosteal ossifying fibroma of the palate. J Periodontol 1984;55(12):704–7.   [CrossRef]   [Pubmed]    Back to citation no. 5
  6. Miller CS, Henry RG, Damm DD. Proliferative mass found in the gingiva. J Am Dent Assoc 1990;121(4):559–60.   [Pubmed]    Back to citation no. 6
  7. Sezer B, Koyunecu B, Unal T, et al. Peripheral ossifying fibroma: A clinical and histologic evaluation of 98 cases. J Appl Res Clin Dent 2004;1:12–6.    Back to citation no. 7
  8. Poon CK, Kwan PC, Chao SY. Giant peripheral ossifying fibroma of the maxilla: report of a case. J Oral Maxillofac Surg 1995;53(6):695–8.   [Pubmed]    Back to citation no. 8
  9. Orkin DA, Amaidas VD. Ossifying fibrous epulis–an abbreviated case report. Oral Surg Oral Med Oral Pathol 1984;57(2):147–8.   [Pubmed]    Back to citation no. 9
  10. Walters JD, Will JK, Cacchilo DA, Raabe DA. Excision and repair of the peripheral ossifying fibroma: a report of 3 cases. J Periodontol 2001;72(7):939–44.   [CrossRef]   [Pubmed]    Back to citation no. 10
[HTML Abstract]   [PDF Full Text]

Author Contributions:
Killi V Prabhakar Rao – Conception and design, Acquisition of data, Analysis and interpretation of data, Drafting the article, Critical revision of the article, Final approval of the version to be published
Penmatsa Tanuja – Conception and design, Acquisition of data, Analysis and interpretation of data, Drafting the article, Critical revision of the article, Final approval of the version to be published
M Narendra Reddy – Conception and design, Acquisition of data, Analysis and interpretation of data, Drafting the article, Critical revision of the article, Final approval of the version to be published
Guarantor of submission:
The corresponding author is the guarantor of submission.
Source of support:
None
Conflict of interest:
Authors declare no conflict of interest.
Copyright:
© Killi V Prabhakar Rao et al. 2012; This article is distributed the terms of Creative Commons Attribution License which permits unrestricted use, distribution and reproduction in any means provided the original authors and original publisher are properly credited. (Please see Copyright Policy for more information.)