International Journal of Case Reports and Images (IJCRI)


Volume 3; Number 4 (April 2012)

Cover Figure

cover figure

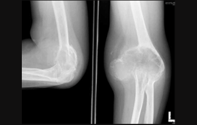
Figure 1: Preoperative radiograph showing eccentric, expansile, lytic lesion of the left medial condyle of humerus which has violated the joint. (Page 38)

Go Back to Table of Contents