Table of Contents    
Case Report
 
Cutaneous basaloid squamous cell carcinoma of the face, a rare variant: A case report
Krishnangshu Choudhury Bhanja1, Swapan Kumar Mallick1, Shyam Sharma1, Rama Saha2
1Junior Resident, Department of Radiotherapy, Institute of Post graduate Medical Education and Research, Kolkata-700020, West Bengal, India.
2Associate Professor, Department of Pathology, Institute of Post graduate Medical Education and Research, Kolkata-700020, West Bengal, India.

doi:10.5348/ijcri-2012-01-84-CR-6

Address correspondence to:
Krishnangshu Bhanja Choudhury
C-11/4, Green Tower, Golf Green
Kolkata -700095
West Bengal
India
Phone: 00-91 - 9830932869
Email: krishnangshubc@gmail.com

[HTML Abstract]   [PDF Full Text]

How to cite this article:
Bhanja KC, Mallick SK, Sharma S, Saha R. Cutaneous basaloid squamous cell carcinoma of the face, a rare variant: A case report. International Journal of Case Reports and Images 2012;3(1):20-23.


Abstract
Introduction: Basaloid squamous cell carcinoma (BSCC) is a rare and aggressive variant of squamous cell carcinoma (SCC) that occurs preferentially in the upper aerodigestive tract. While rare reports of metastatic BSCC have been cited in various articles, the primary cutaneous lesions involve the inguinal and perineal skin. The incidence of cutaneous BSCC of face has not being been reported. We present a rare case of cutaneous BSCC involving the right lower eye lid and skin over the lateral nasal wall in an elderly male patient who underwent wide excision and post operative radiotherapy.
Case Report: A 76-year-old male patient presented with painful ulcerative bleeding skin lesion of 2x1.5 cm below the right eye, extending to skin over the nose, gradually increasing in size over the last one year. Presumptive diagnosis of basal cell carcinoma was made. After cleaning, debridement and parental antibiotics, the whole lesion was excised and surgical reconstruction done. However, histopathological examination showed mucosal mass composed of epithelial cells in anastomosing cords and islands with presence of peripheral pallisading, diagnostic of basaloid squamous cell carcinoma. The patient received adjuvant radiotherapy 50 Gray in 20 fractions over four weeks due to positive margins. The patient is on follow up for last eight months without any sign of recurrence.
Conclusion: We report a rare case of basaloid squamous cell carcinoma of skin of face which was clinically misdiagnosed as basal cell carcinoma.

Key Words: Cutaneous basaloid squamous cell carcinoma


Introduction

Basaloid squamous carcinoma is a biologically aggressive variant of squamous cell carcinoma. The common sites of origin being the oral cavity, nasal cavity, nasopharynx, base of tongue, hypo-pharynx and supraglottic larynx. Although the existence of this malignancy has been reported in the skin as metastatic deposits and as primary tumors from the anus, penis, vulva, and external auditory canal, it is not been noted in other cutaneous sites. [1] [2] [3]


Case Report

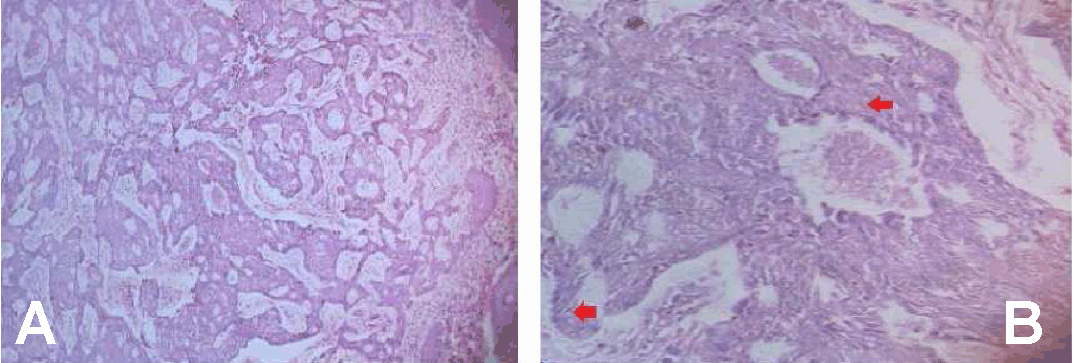
A 76-year-old male patient presented with painful ulcerative bleeding lesion of the skin below the right eye, extending to skin over the nose, gradually increasing in size over the last one year (figure 1). Clinically it was an ulcerated lesion of 2 x 1.5 cm with irregular margins and the base was covered with purulent odouriferous secretion. Plain X-ray paranasal sinus (Water's view) did not depict any bony erosion. By the appearance of the lesion resembling an ulcerated rodent ulcer with pigmentation over the face, the presumptive diagnosis of basal cell carcinoma was made. After cleaning, debridement and parenteral antibiotics, the whole lesion was removed by wide local excision with one cm margin. However due to non-availability of frozen section the margin status was not confirmed during operation. It was after pathological review that positive margin was identified. Surgical reconstruction was done using split thickness skin graft from skin of left forearm, after it matched with colour and texture of the excised facial skin. Histopathological examination shows a mucosal mass composed of epithelial cells in anastomosing cords and islands with presence of peripheral pallisading. The overall histological features were those of basaloid squamous cell carcinoma (figure 2A, B). Due to positive margins the patient received adjuvant radiotherapy 50 Gray in 20 fractions over four weeks. The patient is on follow up for last eight months without any sign of recurrence (figure 3).

Click below to enlarge
Figure 1: Pre-operative ulcerated bleeding lesion involving the skin of face extending from lower eyelid to skin over the bridge of the nose.


Click below to enlarge
Figure 2: A-B) Biopsy section showing epithelial cells in anastomosing cords and islands with presence of peripheral prominent pallisading pattern, (H & E, A- x40, B- x100).



Click below to enlarge
Figure 3: Post treatment eight months follow up of patient, no sign of disease recurrence.



Discussion

Non-melanoma skin cancer includes basal cell carcinoma and squamous cell carcinoma (SCC). Skin cancers occasionally demonstrate pathologic features of more than one tumor or more than one subtype of a single tumor. The pathologic presence of multiple subtypes coexisting in a single cancer lesion can result either from, 1) a collision tumor, in which two or more cutaneous malignancies coincidentally collide and clinically appear as one lesion or, 2) a metatypical tumor, in which the epidermal keratinocytes differentiate into tumor cells of both basal cell carcinoma and squamous cell carcinoma, such as a basosquamous or basaloid squamous cell carcinoma (BSCC). [4] [5] [6]

SCC has several subtypes such as verrucous, spindle cell and basaloid carcinoma. BSCC is a rare variant of squamous cell carcinoma which occurs predominantly in men in their 60 and 70s. Wain et al., first described it in 1986 and reported it as an independent malignancy [7] There have been some reports of it being associated with tobacco and alcohol abuse. BSCCs have a predilection for the supraglottis, larynx, base of the tongue, and pyriform sinus, although they have been described as arising elsewhere, including the palate, buccal cavity, nasopharynx, floor of the mouth, trachea, esophagus, and tonsils. Aside from the upper aerodigestive tract, BSCCs have also been reported in the uterine cervix, lungs, and thymus. BSCCs arising in the skin have been predominantly reported on the genitalia in both mucosal and glabrous sites. [8] Two cases of BSCC metastatic to the skin have been reported, a distal finger neoplasm from an esophageal tumor and a metastasis to the nasal tip from a laryngeal primary. Basaloid squamous cell carcinoma is a rare variant of squamous cell carcinoma in head and neck region with a relative frequency of 2%. Clinically, it is an aggressive tumor with both basaloid and squamous cell components metastasizing to lymph nodes (64%) and to organs like lungs, bone, skin, and brain (44%).

BSCC is distinguished on the basis of histologic inspection by lobules, nests, and cribriform patterns of basaloid cells that commonly have abrupt foci of squamous differentiation within the nests. Necrosis is typical, taking the form of single cell necrosis and central comedo necrosis. The major characteristic of the BSCC is the presence of squamous component that includes at least one of following features: adjacent foci of conventional squamous cell carcinoma, dysplasia or carcinoma in situ of the overlying mucosa. The exaggerated nuclear to cytoplasmic ratio of the tumor nests account for their basaloid appearance. The surrounding stroma is fibrotic, an integral feature of this malignancy with occasional deposits of hyaline basement membrane like material noted adjacent to tumor aggregates. [7] In the large majority of cases, the distinction from BCC is readily made on the basis of standard H&E morphology.

However, application of immunohistochemical markers is useful to differentiate these tumors. BSCCs are almost universally positive for cytokeratin (CK) stains including high-molecular weight CK, CK cocktail (AE1/AE3), and cytokeratin 34bE12 (CK 903). [8] The primary treatments of SCC of skin are the cure of the tumour and maximal preservation of function and cosmesis. All treatment decisions should be customized to account for the particular factors like positive resection margins, customary age, reconstructive surgery and size parameters. The treatment includes curettage and electrodesiccation, wide local excision with postoperative margin assessment (POMA), Mohs microsurgery, radiation therapy and superficial therapies. For margin close or positive margins re-excision is advised. Radiation remains an alternative with external beam radiation with photons or electrons with bolus to increase the skin dose. Brachytherapy has been recommended as plesiotherapy form for dose build up in skin with sparing of underlying organs at risks. The external beam radiation is generally given as adjuvant in dosage of 50 Gy in 2.5 to 3.5 Gray per fraction, but some authors recommend a lower dose per fraction for better cosmetic outcome.

With rarity of the cutaneous BSCC the treatment is still not clear. Most of the literature mentions that basaloid squamous cell carcinoma of head and neck region involving the mucosal surface presents in advanced stages, requires excision of the tumor and the lymph nodes, among with radiotherapy. Some authors are of the opinion that BSCC require aggressive multimodal therapy, including radical surgical excision, neck dissection, radiotherapy, and often chemotherapy. SCC on the other hand has a varied presentation, treatment of which essentially is a combination of surgery including lymph nodal excision for clinically positive nodes, along with radiotherapy. These treatments suffice when considering the mucosal surface as origin of SCC and BSCC of head and neck region. For the specific subtypes originating from the skin, SCC traditionally requires surgery of primary lesion and neck nodes if they are clinically detected. The exact treatment of cutaneous BSCC is not specified but should remain the same as that of cutaneous SCC except that the aggressive nature of this BSCC variant might require additional chemotherapy for disease control, specially in advanced bone or nodal or metastatic lesions, when extrapolating the data available for non-cutaneous BSCC.


Conclusion

In conclusion we report a rare case of basaloid squamous cell carcinoma of skin of face which was clinically misdiagnosed as basal cell carcinoma.


References
  1. Kurman RJ, Toki T, Schiffman MH. Basaloid and warty carcinomas of the vulva: distinctive types of squamous cell carcinoma frequently associated with human papillomaviruses. Am J Surg Pathol 1993;17:133-45.   [CrossRef]   [Pubmed]    Back to citation no. 1
  2. Emmanuel P, Wang B, Wu M, Burstein DE. P63 immunohistochemistry in the distinction of adenoid cystic carcinoma from basaloid squamous cell carcinoma. Mod Pathol 2005;18:645-50.   [CrossRef]   [Pubmed]    Back to citation no. 2
  3. Koutis EV, Assimakopoulos DA, Doukas MG, Zinovieva I. A rare nasal tip skin metastasis of a basaloid squamous cell carcinoma of the larynx. Am J Med 2008;121:e3-4.   [CrossRef]   [Pubmed]    Back to citation no. 3
  4. Boyd AS, Rapini RP. Cutaneous collision tumors. An analysis of 69 cases and review of the literature. Am J Dermatopathol 1994;16:253-57.   [CrossRef]   [Pubmed]    Back to citation no. 4
  5. Borel DM. Cutaneous basosquamous carcinoma: review of the literature and report of 35 cases. Arch Pathol 1973;95:293-97.   [CrossRef]   [Pubmed]    Back to citation no. 5
  6. Montgomery H. Basal squamous cell epithelioma. Arch Dermatol Siphylol 1928;18:50-73.   [CrossRef]   [Pubmed]    Back to citation no. 6
  7. Wain SL. Kier R, Vollmer RT, Bossen EH. Basaloid squamous cell carcinoma of the tongue, hypopharynx and larynx: report of 10 cases. Hum Pathol 1986;17;1158-66.   [CrossRef]   [Pubmed]    Back to citation no. 7
  8. Banks ER, Frierson HF, Mills SE, George E, Zarbo RJ, Swanson PE. Basaloid squamous cell carcinoma of the head and neck: a clinicopathologic and immunohistochemical study of 40 cases. Am J Surg Pathol 1992;16:939-46.   [CrossRef]   [Pubmed]    Back to citation no. 8
[HTML Abstract]   [PDF Full Text]

Author Contributions:
Krishnangshu Choudhury Bhanja - Substantial contributions to conception and design, acquisition of data, Drafting the article, revising it critically for important intellectual content, Final approval of the version to be published
Swapan Kumar Mallick - Substantial contributions to conception and design, analysis and interpretation of data, Drafting the article, Final approval of the version to be published
Shyam Sharma - Substantial contributions to conception and design, Drafting the article, revising it critically for important intellectual content, Final approval of the version to be published
Rama Saha - Drafting the article, revising it critically for important intellectual content, Substantial contributions to conception and design, Final approval of the version to be published
Guarantor of submission:
The corresponding author is the guarantor of submission.
Source of support:
None
Conflict of interest:
The authors declare no conflict of interest.
Copyright:
© Krishnangshu Choudhury Bhanja et al. 2012; This article is distributed the terms of Creative Commons Attribution License which permits unrestricted use, distribution and reproduction in any means provided the original authors and original publisher are properly credited. (Please see Copyright Policy for more information.)