Table of Contents    
Case Report
 
'String of beads' or 'bunch of grapes': A case report of renal artery fibromuscular dysplasia
Srujal Shah1, Shivananda Siddappa1, Vikram Patra1, S Sandhyamni2 Unnikrishnan Madathipat1
1Division of Vascular surgery, Department of Cardiovascular and Thoracic Surgery, Sree Chitra Tirunal Institute for Medical Sciences and Technology, Trivandrum, Kerala - 695011, India.

doi:10.5348/ijcri-2012-01-82-CR-4

Address correspondence to:
Unnikrishnan Madathipat
Professor of Vascular Surgery
Department of CVTS
Trivandrum, Kerala
India
Phone: 91-471-2524463/2443152(O)
Fax: 91-471-2446433
Email: unni@sctimst.ac.in

[HTML Abstract]   [PDF Full Text]

How to cite this article:
Shah S, Siddappa S, Patra V, Sandhyamni S, Madathipat U. 'String of beads' or 'bunch of grapes': A case report of renal artery fibromuscular dysplasia. International Journal of Case Reports and Images 2012;3(1):12-15.


Abstract
Introduction: Fibromuscular dysplasia (FMD), a disease of unknown etiology leading to renovascular hypertension (RVH) usually affects medium and large arteries of young females.
Case Report: We report the case of 29-year-old man in whom fibromuscular dysplasia presented as 'Bunch of Grapes' instead of its telltale sign of 'String of Beads'. To our knowledge it is the first case of renal artery multiple aneurysms arising from single site associated with stenoses. Angioplasty, although standard of care in such lesions, was not feasible and open surgical revascularisation using exclusion of aneurismal segment and renal revascularisation using reversed great saphenous vein graft interposition provided excellent results.
Conclusion: The First case of Renal artery Fibromuscular dysplasia presenting as 'Bunch of Grapes' sign is reported. Detailed evaluation of renovascular hypertension and its successful surgical correction using vein graft exclusion bypass is described.

Key Words: Fibromuscular dysplasia, Renal artery, Angioplasty, Surgical repair


Introduction

Fibromuscular dysplasia (FMD), a disease of unknown etiology leading to renovascular hypertension (RVH) usually affects medium and large arteries of young females.


Case Report

A 29-year-old moderately built gentleman, who went to ENT surgeon for evaluation of persistent headache of four months duration was detected to have accelerated hypertension. His blood pressure was 220/110 mmHg in the right upper limb in sitting posture with no asymmetry of pulse and blood pressure. There was no bruit on abdominal examination. General and systemic examinations were otherwise unremarkable. Past medical history and family history were non-contributory. Initial work up by nephrologist included ultrasound abdomen, renal function tests, serum aldosterone, plasma rennin assay and urinary metanephrines, which ruled out pheochromocytoma and cushing's syndrome table 1 showing results of blood and urine investigations done to evaluate secondary hypertension.

Click below to enlarge
Table 1: Abdominal CT scan performed with administration of intravenous contrast media revealed a large, biphasic retroperitoneal hematoma (arrow).


His antihypertensive medications included Telmisartan 40 mg/day, long acting Indapamide 1.5 mg/day, Clonidine 100 µg/day, Amlodipine 10 mg/day and Furosemide 20 mg/day. On these medications his blood pressure was 160/100 mmHg and hence considered to have resistant hypertension.

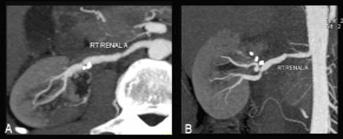
Renal artery duplex scan and contrast CT scan abdomen showed multiple aneurysms in distal right renal artery and stenoses proximal and distal to them (figure 1A, B). Tc DTPA Captopril renogram was done to assess renal function, which showed smaller right kidney with prolonged T max, which accounted for 39.1% of total renal function (figure 2A, B).

Click below to enlarge
Figure 1: Preoperative CT Angiogram images: A) Coronal reconstruction and, B) Axial view showing 'Bunch of Grapes' sign of right renal artery.


Click below to enlarge
Figure 2: Tc DTPA scan results: A) baseline renogram, B) post- Captopril renogram showing decreased right renal size and function.


Digital subtraction angiography was performed confirming the 'Bunch of Grapes' appearance of renal artery, which ruled out feasibility of angioplasty due to tight stenoses (figure 3A, B, C).

Click below to enlarge
Figure 3: DSA showing: A) Aortogram with proximal right renal artery, B) Multiple aneurysms arising from mid and distal right renal artery with proximal tight stenosis, C) Delayed nephrogram.


Under General Anaesthesia with endotracheal intubation, arterial line, central and peripheral venous lines and urinary catheter, patient placed in supine postion and abdomen and left leg were painted and drapped. Midline xipho-pubic laparotomy was done. Small bowel eviscerated and retracted after quick exploration of abdominal viscera. Ascending colon just beyond hepatic flexure was reflected to left side by incising peritoneum in right paracolic gutter. Kocherisation of duodenum was done and dissection continued to expose renal vein and artery. Simultaneously a 5 cm of great saphanous vein was harvested from left lower leg and kept in heparinised saline. Renal artery was looped proximal and distal to the aneurysmal segment using no. 3 silk. Systemic heparinization was given at a dose of 1 mg/kg body weight. Renal artery proximal to aneurysm was clamped, transacted and reversed great saphanous vein graft was anastomosed to it in end to end manner using polypropelene 6-0 continuous sutures. Having checked proximal suture line for hemostasis, distal end of vein graft was sutured to the transacted distal renal artery. Deairing done and renal flow started. Aneurismal segment of right renal artery already excluded was retained in situ after taking material for biopsy. Hemostasis and laparotomy closure was done in standard manner.

Excellent early recovery resulted with easily controlled blood pressure on single drug (atenolol 25 mg/day morning dose). In addition he was placed on dual antiplatelet drugs (tab ecosprin 150 mg/day and tab clopidogrel 75 mg/day). Follow up check duplex scan at one week showed normal renal flow and 64 slice CT scan abdomen confirmed patent renal graft and vanished 'Bunch of Grapes' (figure 4A, B). A small chink of upper pole of right kidney was however not visualized. Histopathology confirmed the medial fibroplasia variant of FMD (figure 5).

Click below to enlarge
Figure 4: Post operative 64 slice contrast CT scan: A) Axial view and, B) coronal image showing patent reconstructed right renal artery, well perfused kidney but with a chink of upper pole not visualized.


Click below to enlarge
Figure 1: Histopathology image showing 'Medial Fibroplasia' with dense fibrous connective tissue in the outer media (black arrow), distorted inner medial smooth muscles and normal intimal tissues. (H & E, x200)



Discussion

Fibromuscular dysplasia causing renal artery stenosis comprises 10% of total cases of renovascular hypertension, rest being contributed by atherosclerosis. [1] Medial fibroplasia, the commonest variant of renal artery dysplastic lesions (60-70%), usually presents as classic 'String of Beads' appearance due to alternate stenosis and dilatation. [2] According to literature the aneurysms can enlarge beyond renal artery but multiple aneurysms arising from short segment of renal artery giving the 'Bunch of Grapes' sign has never been reported in context of renal artery fibromuscular dysplasia. [3]

Symptomatic renal artery aneurysm causing flank pain along with renal artery stenosis leading to intractable renovascular hypertension itself emphasized the urgent need for intervention. [4] Angioplasty is till date considered gold standard therapeutic modality for non-atherosclerotic renal artery stenosis. Keeping Fibromuscular dysplasia as the most likely diagnosis, although angioplasty was considered initially, operative repair using exclusion of aneurysm and renal artery reconstruction with great saphenous vein was decided upon judiciously. [5] Patient was discharged on single antihypertensive (atenolol 25 mg OD) and dual antiplatelet drugs. Currently at medium term follow up of two years he is back to full activities. Blood pressure is controlled with atenolol and duplex scan shows excellent graft flow. Nevertheless he requires continued long-term surveillance.


Conclusion

Fibromuscular dysplasia is a rare cause of renovascular hypertension classically presenting as 'String of Beads'. Angioplasty without stenting is the preferred therapeutic modality. Surgery provides optimal results when confronted with failed angioplasty, branched vessel involvement and symptomatic macro-aneurysms like our patient in this report.


Acknowledgements

Authors wish to express their sincere thanks to Prof AK Gupta, Head, Department of Imaging science and Interventional radiology, SCT and (retired) Prof. Vimala, Head, dept of Nephrology, Medical college, Trivandrum.


References
  1. Gottam N, Nanjundappa A, Dieter RS. Renal artery stenosis:pathophysiology and treatment. Expert Rev Cardiovasc Ther. 2009 Nov;7(11):1413-20.   [CrossRef]   [Pubmed]    Back to citation no. 1
  2. Olin JW, Recognizing and managing fibromuscular dysplasia. Cleve Clin J Med. 2007 Apr;74(4):273-4, 277-82.   [CrossRef]   [Pubmed]    Back to citation no. 2
  3. Renal angiography in Hypertension by Stanley baum, Michael J Pentecost, from textbook Abram's Angiography: Interventional radiology; second edition, 2006, Lippincott Williams & Wilkins publication.    Back to citation no. 3
  4. Panayiotopoulos YP, Assadourian R, Taylor PR. Aneurysms of the visceral and renal arteries. Ann R Coll Surg Engl. 1996 Sep;78(5):412-9.   [Pubmed]    Back to citation no. 4
  5. Wong JM, Hansen KJ, Oskin TC, Craven TE, Plonk GW Jr, Ligush J Jr, Dean RH. Surgery after failed percutaneous renal artery angioplasty J Vasc Surg. 1999 Sep;30(3):468-82.   [CrossRef]   [Pubmed]    Back to citation no. 5

[HTML Abstract]   [PDF Full Text]

Author Contributions:
Srujal Shah - Conception and design, acquisition of data, drafting the article or revising it critically for important intellectual content, final approval of the version to be published
Shivananda Siddappa - Analysis and interpretation of data, revising article critically for important intellectual content, final approval of the version to be published
Vikram Patra - Conception and design, acquisition of data, drafting the article, final approval of the version to be published
Sandhyamani S - Analysis and interpretation of data, revising article critically for important intellectual content, final approval of the version to be published
Unnikrishnan Madathipat - Conception and design, acquisition of data, or analysis and interpretation of data, drafting the article or revising it critically for important intellectual content, final approval of the version to be published
Guarantor of submission:
The corresponding author is the guarantor of submission.
Source of support:
None
Conflict of interest:
Authors declare no conflict of interest.
Copyright:
© Srujal Shah et al. 2012; This article is distributed the terms of Creative Commons Attribution License which permits unrestricted use, distribution and reproduction in any means provided the original authors and original publisher are properly credited. (Please see Copyright Policy for more information.)