Table of Contents    
Case Report
 
Peripheral ossifying fibroma of gingiva: A case report
Shivjot Chhina1, Ajit Singh Rathore2, Puneet Ahuja3
1Associate Professor, Department of Periodontics, I.T.S Dental College, Hospital & Research Centre, Greater Noida, India.
2Associate Professor, Department of Oral and Maxillofacial Pathology, I.T.S Dental College, Hospital & Research Centre, Greater Noida, India.
3Professor & Head, Department of Oral and Maxillofacial Pathology, I.T.S Dental College, Hospital & Research Centre, Greater Noida, India.

doi:10.5348/ijcri-2011-11-68-CR-6

Address correspondence to:
Shivjot Chhina
Associate Professor, Department of Periodontics
I.T.S Dental College, Hospital & Research Centre
Greater Noida, (U.P)
India - 201308
Phone: 91-120-2331083
Email: drshivjot@yahoo.co.in

[HTML Abstract]   [PDF Full Text]

How to cite this article:
Chhina S, Rathore AS, Ahuja P. Peripheral ossifying fibroma of gingiva: A case report. International Journal of Case Reports and Images 2011;2(11):21-24.


Abstract
Introduction: The peripheral ossifying fibroma (POF) is a reactive gingival overgrowth occurring frequently in the anterior maxilla. It originates in the cells of the periodontal ligament and is more common in children and young adults.
Case Report: In the current article a case of peripheral ossifying fibroma (POF) in the anterior maxillary gingiva is highlighted, which histologically showed cellular, fibrous connective tissue stroma with calcified osseous calcifications.
Conclusion: The definitive diagnosis is established by histological examination, which reveals the presence of highly cellular connective tissue with focal calcifications. Surgery is the treatment of choice, though the recurrence rate can reach 20%.

Key Words: Peripheral ossifying fibroma, Gingiva, Epulis, Calcifications


Introduction

Peripheral ossifying fibroma (POF) is a lesion of the gingival tissues [1] [2] [3] representing up to 2% of all oral lesions that are biopsied. [1] Other terms used in reference to POF are peripheral cementifying fibroma, peripheral fibroma with cementogenesis, peripheral fibroma with osteogenesis, peripheral fibroma with calcification, calcified or ossified fibrous epulis, and calcified fibroblastic granuloma. [2] [4]

POF mainly affects women in the second decade of life [1] [4] [5] [6] (50% of all patients being between 5-25 years of age). The lesions are most often found in the gingiva, located anterior to the molars [1] and in the maxilla. [7] Clinically, POF usually manifests as a well-defined and slow-growing gingival mass measuring under two cm in size and located in the interdental papilla region. [1] [4] [5] [6] [8] The base may be sessile or pedunculated, the colour is identical to that of the gingiva or slightly reddish, and the surface may appear ulcerated. [1] [4] [5] [6] The definitive diagnosis is based on histological examination, [5] [6] with the identification of cellular connective tissue and the focal presence of bone or other calcifications. [1] [5] [7] However, it has not been established whether POF is a tumour or represents proliferation of a reactive nature. Surgical excision is the treatment of choice, though the recurrence rate can reach 20%. POF shows a clinically benign behaviour. [1] [5] [6]


Case Report

A 25-year-old male patient reported to the outpatient department with a slow-growing painless growth that had been present labially in the left incisor-canine region. The lesion started as a small nodule approximately three years earlier. Examination revealed an approximately 1 cm × 1 cm pedunculated, non-tender, firm, pinkish red growth present on the labial gingiva in relation to the maxillary left central incisor and canine (figure 1). Radiographic examination revealed no significant change in the underlying normal bone architecture The patient's past dental and medical histories were non-contributory. Excisional biopsy was performed. The differential diagnosis included traumatic fibroma and pyogenic granuloma. H&E stained sections shows parakeratinized stratified squamous epithelium and dense fibrous connective tissue stroma. The connective tissue showed dense bundles of collagen fibres (figure 2). Deep in the connective tissue were seen numerous ossifications in the form of bony trabeculae (figure 3). The fibroblasts were plump and active around ossifications.


Click below to enlarge
Figure 1: Pedunculated growth on gingiva between central incisor and canine.



Click below to enlarge
Figure 2: Photomicrograph showing parakeratinized stratified squamous epithelium, cellular fibrous connective tissue stroma with bony trabeculae. (H&E, x100).




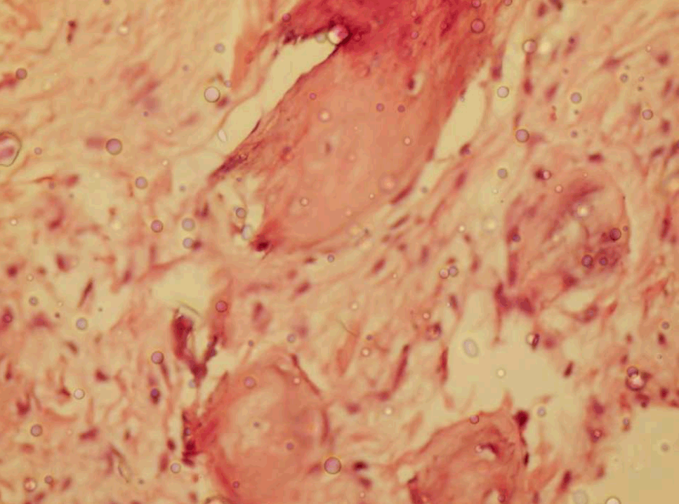
Click below to enlarge
Figure 3: Photomicrograph showing bony trabeculae surrounded by plump fibroblast (H&E, x400).



Discussion

The term "epulis" includes a series of reactive gingival lesions often produced by irritating agents. The diagnosis is usually established on the basis of the clinical findings, with few clinical differences noted among the different disorders included under this term; these disorders include POF, peripheral fibroma, peripheral giant cell granuloma, and pyogenic granuloma. [7] The latter condition could represent an early, immature form of POF. [6] [7] A study of 2,439 cases of epulis, recorded the following prevalence: peripheral fibromas - 61.05%, pyogenic granulomas - 19.76%, POF - 17.67%, and peripheral giant cell granulomas - 1.52%. [7] POF is firmer and less friable than the rest of the lesions and typically shows a longer course. This explains the calcification and/or ossification secondary to fibroblast maturation to collagen tissue. [7]

The etiology and pathogenesis of POF are not known. [4] [6] It has been suggested that these lesions originate in the cells of the periodontal ligament for the following reasons: POF exclusively appears in the gingival tissue, close to the periodontal ligament; oxytalan fibers are found within the mineralized matrix of some lesions; the age distribution of the lesions is inversely proportional to the number of permanent teeth lost; and the fibrocellular response of POF is similar to that of other reactive gingival lesions originating in the periodontal ligament. [2] [5]

Fibroblastic myofibroblastic nature of the lesion, suggests possible origin in the periodontal ligament. Since POF has an obvious predilection for females and occurs frequently in specific periods of life such as puberty and pregnancy, the existence of hormonal factors in the development of POF has been suggested in the literature. [9]

Other factors that have been implicated in the etiopathogenesis of POF are trauma and local irritants such as tartar, microorganisms and chewing forces. [5] [6] It has been suggested that POF would be a consequence of periodontal ligament hyperplasia that may be accompanied by rests of malassez, which could be incorporated into the lesions, thereby accounting for the POF variant that contains odontogenic epithelium (known as peripheral odontogenic fibroma). Another variant is cemento-ossifying peripheral fibroma, characterized by the presence of cementum within a POF-compatible lesion. [4]

The POF may occur at any age range, but exhibits a peak incidence between the second and third decades. The average age is around 28 years, with females being affected more than males, [11] which coincides with our case. Most of lesions are usually <1.5 cm, as shown in the present case. Radiologically and depending on the size of the ossification foci, radiopaque stains can be seen on the periapical or panoramic X-rays. [5] [6] [8]

Histologically, fibroblasts are basic element of peripheral giant cell granuloma along with abundant multinucleated giant cells. Pyogenic granuloma shows vast numbers of endothelium lined vascular spaces and the extreme proliferation of fibroblasts and budding endothelial cells. Peripheral fibroma consists of bundles of interlacing collagenous fibers interspersed with varying numbers of fibroblasts and small blood vessels. In comparison POF is composed of cellular fibrous tissue with areas of fibrovascular tissue that comprise large number of plump proliferating fibroblast intermingling throughout delicate fibrillar stroma. The lesion is not encapsulated. [7] When the lesions matures, the stromal cellularity decreases and bony tissue increases. [1] [5] Ossification is usually seen in the cellular zone, and shows considerable variation both quantitatively and qualitatively. Several forms of calcification occurs ranging from single or multiple interconnecting trabeculae of bone or osteoid (either mature lamellar bone or immature cellular bone, less common globules of calcified material resembling acellular cementum or a dense diffuse granular dystrophic calcification. Multinucleated giant cells can be present, though they do not represent an essential component. [1] Ten percent of all cases of POF may contain odontogenic epithelial nests as vestigial representation of the dental lamina. [1] Our patients showed nearly all these differential features.

The immunohistochemical profile studies indicates that the proliferating cells are of a myofibroblastic nature (i.e. cells sharing morphologic characteristics with fibroblasts and muscle cells). Myofibroblastic proliferation has been described as a reaction to inflammation, in pseudosarcomatous proliferations (e.g. nodular fasciitis) or in myofibroblast tumors. The studies shows CD68 positive histiocytic component intermingling with lymphocytes and plasma cells, suggesting the existence of a reactive phenomenon or a response to inflammation. [12]

The treatment of choice for POF is local resection with peripheral and deep margins including both the periodontal ligament and the affected periosteal component. [1] [5] [8]

In addition, elimination of local etiological factors such as bacterial plaque and tartar is required. [5] The teeth associated with POF are generally not mobile, though there have been reports of dental migration secondary to bone loss. Extraction of the neighboring teeth is usually not considered necessary. [5]

The exposed bone should be covered with adjacent gingival flaps. [8] Recurrence is probably a result of incomplete resection of the lesion, failure in sectioning the periodontal ligament, or the development of new lesions. [1]


Conclusion

A case of peripheral ossifying fibroma (POF) is presented here, which appeared clinically as other common gingival lesions like peripheral fibroma, peripheral giant cell granuloma, and pyogenic granuloma only histopathological evaluation can give us the definitive diagnosis.


References
  1. Batsakis JG Non-odontogenic tumors: clinical evaluation and pathology. In: Comprehensive management of head and neck tumors 1999 2nd ed., Thawley SE, Panje WR, Batsakis JG, Lindberg RD eds, W. B. Saunders, Philadelphia 1641-2.    Back to citation no. 1
  2. Marx RE, Stern D Oral and maxillofacial pathology: a rationale for diagnosis and treatment. Quintessence, Chicago 2003;23-25.    Back to citation no. 2
  3. Ono A, Tsukamoto G, Nagatsuka H, Yoshihama Y, Rivera RS, Katsuramo M, Yao M, Sasaki A An immunohistochemical evaluation of BMP-2, -osteopontin, osteocalcin and PCNA between ossifying fibromas of the jaws and peripheral cemento-ossifying fibromas on the gingiva. Oral Oncol 2007;43:339-44.   [CrossRef]   [Pubmed]    Back to citation no. 3
  4. Carrera Grañó I, Berini Aytés L, Escoda CG Peripheral ossifying fibroma. Report of a case and review of the literature. Med Oral 2001;6:135-41.   [Pubmed]    Back to citation no. 4
  5. Passos M, Azevedo R, Janini ME, Maia LC Peripheral cemento-ossifying fibroma in a child: a case report. J Clin Pediatr Dent 2007;32:57-9.   [Pubmed]    Back to citation no. 5
  6. Kumar SK, Ram S, Jorgensen MG, Shuler CF, Sedghizadeh PP Multicentric peripheral ossifying fibroma. J Oral Sci 2006;48:239-43.   [Pubmed]    Back to citation no. 6
  7. Moon WJ, Choi SY, Chung EC, Kwon KH, Chae SW Peripheral ossifying fibroma in the oral cavity: CT and MR findings. Dentomaxillofac Radiol 2007;36:180-82.   [CrossRef]    Back to citation no. 7
  8. Zhang W, Chen Y, An Z, Geng N, Bao D Reactive gingival lesions: a retrospective study of 2,439 cases. Quintessence Int 2007;38:103-10.    Back to citation no. 8
  9. Chen CM, Shen YS, Yang CF, Shieh TY, Chen CH Huang IY Artificial dermis graft on the mandible lacking periosteum after excision of an ossifying fibroma: a case report. Kaohsiung J Med Sci 2007;23:361-5.   [CrossRef]   [Pubmed]    Back to citation no. 9
  10. Whitaker SB, Bouquot JE Estrogen and progesterone receptor status of central giant cell lesions of the jaws. Oral Surg Oral Med Oral Pathol 1994;77:641-4.   [CrossRef]    Back to citation no. 10
  11. Buchner A, Hansen LS. The histomorphologic spectrum of peripheral ossifying fibroma. Oral Surg Oral Med Oral Pathol 1987;63:452-61.   [CrossRef]    Back to citation no. 11
  12. Marcos et al. Peripheral ossifying fibroma: a clinical and immunohistochemical study of four cases. J Oral Sci 2010;52:95-9.   [CrossRef]    Back to citation no. 12
[HTML Abstract]   [PDF Full Text]

Author Contributions:
Shivjot Chhina - Substantial contributions to conception and design, Acquisition of data, Analysis and interpretation of data, Drafting the article, Revising it critically for important intellectual content, Final approval of the version to be published
Ajit Singh Rathore - Substantial contributions to conception and design, Acquisition of data, Analysis and interpretation of data, Drafting the article, Revising it critically for important intellectual content, Final approval of the version to be published
Puneet Ahuja - Substantial contributions to conception and design, Acquisition of data, Analysis and interpretation of data, Drafting the article, Revising it critically for important intellectual content, Final approval of the version to be published
Guarantor of submission:
The corresponding author is the guarantor of submission.
Source of support:
None
Conflict of interest:
Authors declare no conflict of interest.
Copyright:
© Shivjot Chhina et. al. 2011; This article is distributed the terms of Creative Commons Attribution License which permits unrestricted use, distribution and reproduction in any means provided the original authors and original publisher are properly credited. (Please see Copyright Policy for more information.)