Table of Contents    
Case Report
 
A case of small bowel obstruction secondary to intestinal endometriosis
Asiri Arachchi1, Abhinav Vasudevan1
1Australia.

doi:10.5348/ijcri-2011-09-49-CR-4

Address correspondence to:
Asiri Arachchi
Phone: +61404235873
Email: asiriarachchi@gmail.com

[HTML Abstract]   [PDF Full Text]

How to cite this article:
Arachchi A, Vasudevan A. A case of small bowel obstruction secondary to intestinal endometriosis. International Journal of Case Reports and Images 2011;2(9):12-16.


Abstract
Introduction: Endometriosis is a common condition in young females. It can affect various organs and present in a number of ways. Intestinal endometriosis can cause serious complications including small bowel obstruction.
Case Report: We report the case of a 39-year-old female who had repeated presentations to the emergency department with cyclical right iliac fossa pain caused by intestinal endometriosis that evolved to an extent where significant bowel stricturing and adhesion formation occurred causing an acute small bowel obstruction requiring a right hemicolectomy.
Conclusion: Intestinal Endometriosis is an important differential diagnosis for abdominal pain in females of reproductive age group.

Key Words: Intestine, Endometriosis, Bowel obstruction, Appendix, Intussusception


Introduction

Endometriosis is defined as the presence of ectopic endometrial tissue outside the lining of the uterine cavity. It is a considerably common disease and is estimated to affect between 4 and 50% females of reproductive age group. [1] The pelvic organs are most commonly affected but the bowel, urinary tract and extra-abdominal organs can also be involved. [2] Intestinal endometriosis occurs in 3 to 37% cases and is usually asymptomatic. [3] [4] The rectosigmoid is the most commonly affected region of the gut, being involved in about 70% cases. Involvement of the small bowel is much less common, occurring in only 1 to 7% cases, and is usually confined to the distal ileum. [5] Complete bowel lumen obstruction occurs in less than 1% of cases. [5] We report the case of a female with intestinal endometriosis which went undiagnosed until her third presentation to the emergency department when she presented with an acute small bowel obstruction. Involvement of the ileum, cecum and ascending colon resulted in a small bowel resection and right hemicolectomy.


Case Report

A 39-year-old nulliparous female presented to our Emergency Department on three occasions over a period of three weeks. On the first two presentations the patient had cramping generalized abdominal pain associated with nausea. She suffered from dysmenorrhoea and menorrhagia but described the pain to be worse and more generalized than her regular menstrual pain. She did not have any other notable symptoms particularly no gynaecological symptoms. The patient was previously well with no past medical history of note, including no previous abdominal surgery. She was not on the oral contraceptive pill.

Investigations included routine bloods tests, including inflammatory markers, which were normal on both previous occasions. Abdominal X-ray showed fecal loading, particularly in the ascending colon but no evidence of bowel obstruction was seen (Figure 1). A pelvic ultrasonogram (USG) was conducted on the second presentation which was normal. The patient's pain had improved with simple analgesia on both occasions and she was discharged home from the emergency department on simple analgesia and oral aperients, with a presumed diagnosis of constipation.


Click below to enlarge
Figure 1: Chest X-ray was normal with no air under the diaphragm. Multiple fluid levels were noted on the erect abdominal film.


On the third occasion the patient presented with worsening of the cramping abdominal pain associated with nausea and vomiting. The pain was more severe than on previous occasions and localized to the epigastric region and left upper quadrant. She was vomiting food particles and not passing gas. Her last menstrual period was one week prior to presentation.

On examination she was afebrile but tachycardic with a heart rate of 104/min, blood pressure of 115/60 mmHg and oxygen saturation of 97% on room air. On auscultation her heart sounds were normal and lungs were clear. Abdominal examination showed a distended abdomen with generalized tenderness which was worse in the epigastrium, without guarding or rebound tenderness. No masses were felt. Bowel sounds were present. Rectal examination found an empty rectum. Vaginal examination showed no evidence of adnexal tenderness nor was pain elicited with palpation at the fornices.

The patients bloods showed a raised C-reactive protein of 62 mg/L (normal <3 mg/L) and a hemoglobin that had dropped from 15.4 g/dL to 11.7 g/dL in the last one week. Peripheral blood smear and and routine blood tests were normal.

An abdominal computed tomography (CT) scan with oral and intravenous contrast was performed which confirmed a small bowel obstruction possibly secondary to adhesions (Figure 2 A, B). There was bowel dilatation in the mid to distal small bowel where the bowel was 5.2 cm in diameter. No evidence of any obstructing mass was noted and no lymphadenopathy was visualized. The transition point of the obstruction was not obvious. The rest of the study was normal in appearance.


Click below to enlarge
Figure 2: A, B) Abdominal CT scan with IV and oral contrast: shows bowel dilatation in the mid to distal small bowel where the bowel was 5.2 cm in diameter.



Click below to enlarge
Figure 2: A, B) Abdominal CT scan with IV and oral contrast: shows bowel dilatation in the mid to distal small bowel where the bowel was 5.2 cm in diameter.


The provisional diagnosis by the surgical team was a small bowel obstruction but the cause was not clear and acute appendicitis could not be excluded. The decision was made to perform an emergency diagnostic laparoscopy.

On laparoscopy the major abnormality was adherence of the distal small bowel to the pelvis. The operation was converted to a lower midline laparotomy. There was a stenotic and fibrosed terminal ileum and cecum which were adhering to the sigmoid colon, right ovary and uterus due to a brown nodule. Most of the cecum and some of the mesenteric fat was noted to be hemorrhagic and fibrotic with adhesions. There were multiple inflamed lymph nodes in the mesentery of the bowel. Within the cecum there was a protrusion of mucosa about 20x12x9 mm. It was unclear whether this picture was due to a neoplasm, inflammatory bowel disease or endometriosis. The ileum and cecum were dissected of the pelvic structures and the terminal ileum and cecum were divided. Twenty cm of the terminal ileum and 15 cm of the right colon were resected, adhesions were divided and a primary anastamosis was performed.

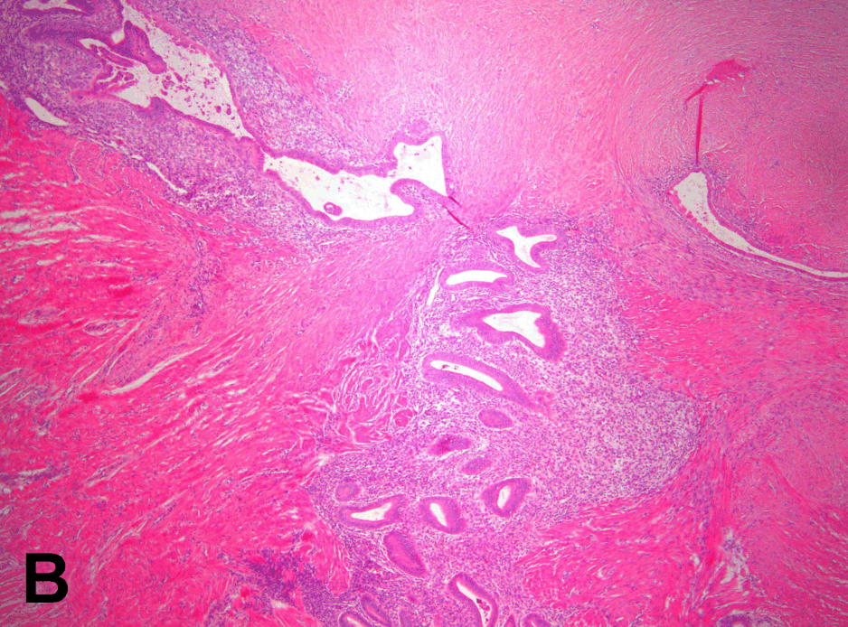
Histological examination of the resected ileum showed focal areas of superficial mucosal ulceration with destruction of glands and a neutrophilic infiltrate (Figure 3 A, B). Granulomas were not seen. Sections taken from the strictured ileum showed the presence of endometrial glands and stroma on the serosal surface of the bowel, extending into the outer half of the muscularis propria. There was associated fibrosis, scarring and distortion of the wall and the overlying mucosa. There was no evidence of dysplasia or malignancy. The area of polypoidal mucosa within the cecum appeared to be the mouth of the appendix which was also associated with endometriosis, fibrosis and scarring and had completely intussuscepted into the cecum. The diagnosis made was endometriosis with associated inflammation and stricture formation involving the distal ileum, appendix, cecum, ascending colon, omental fat and associated lymph nodes.


Click below to enlarge
Figure 3: A, B) Histopathology of the small bowel showing an area affected by endometriosis.



Click below to enlarge
Figure 3: A, B) Histopathology of the small bowel showing an area affected by endometriosis.


Post-laparotomy our patient made an unremarkable recovery and was discharged home. She was followed up in the surgical outpatients clinic after two weeks where no further complications were noted.


Discussion

Endometriosis of the intestine is rare and obstruction due to endometriosis is even less common,

with an incidence rate of 0.8%. [6] The majority of cases of intestinal endometriosis involve therectosigmoid, which accounts for 70 to 95% of cases, with small intestinal, cecal and appendiceal involvement occurring in decreasing frequency. [7] [8] Our case highlights some important aspects of intestinal endometriosis: initial presentation with vague abdominal symptoms which was followed by an acute presentation of small bowel obstruction and appendiceal intussusception due to endometriosis which was most likely a red herring in our case.

Patients with intestinal endometriosis may remain asymptomatic or can present to medical attention with symptoms including constipation and diarrhea, indigestion, cramping abdominal pain, nausea, bloating or abdominal mass. [4] [5] These symptoms are classically cyclical and closely related to the first day of the menstrual cycle but can be unrelated to periods. [8] In our patient symptoms were occurring periodically, but the symptoms were vague and radiographic findings lacked specificity so the diagnosis remained elusive on the first two presentations. This is similar to reported cases in the literature, where the lack of specific features made early diagnosis of the condition near impossible.

Acute, partial or chronic intestinal obstruction can also occur as a result of intestinal endometriosis, although it is rare, with a reported incidence rate of 0.8%. [6] Obstruction of the small bowel most commonly occurs in the ileum. [7] The proposed mechanism is proliferation of endometriotic tissue and reactive fibroplasia within the muscularis propria and submucosal layers which causes gradual obstruction of the intestinal lumen. [9] In cases where previous surgery has been performed, kinking and fibrosis of the bowel wall related to the procedure may also be the cause of obstruction. [6] In our case no previous abdominal procedures had been performed on the patient. The patient's two prior presentations to the emergency department may have been due to a partial bowel obstruction from stricturing in the terminal ileum which was demonstrated on pathological findings. Complete bowel obstruction may then have resulted from kinking of the small bowel when it was adherent to the pelvic structures and this resulted in the final acute presentation.

A histological finding of note in our case is the finding of a polypoid mass that was actually an intussuscepted appendix in the cecum (Figure 3), which is a documented complication of endometriosis of the appendix. It is an extremely rare phenomenon [10] but worth noting as a differential diagnosis for a neoplasm since malignancy occurs in 0.7 to 1% cases of intestinal endometriosis. [11] Intussusception of the appendix is believed to occur as a result of endometrial tissue infiltrating the muscularis propria and leading to hypertrophy and hyperplasia. Strong peristaltic contractions due to the hypertrophic segment of the appendix can then force the appendix into the cecal lumen and cause intussusception of the appendix. [10] In our case the entire appendix had inverted into the cecum. An intussuscepted appendix may remain asymptomatic or can cause acute abdominal pain, a palpable mass in the lower abdomen or non-specific gastrointestinal symptoms like vomiting and diarrhea. [12] [13] In our case it was most likely an incidental finding.


Conclusion

Intestinal endometriosis is uncommon and often presents with nonspecific gastrointestinal symptoms but can also present as acute bowel obstruction. Radiological findings can be non-specific and laparoscopy or laparotomy with resection of affected areas for biopsy remains the mainstay of diagnosis. The diagnosis should be suspected in young nulliparous patients with abdominal pain and clinical features of intestinal obstruction.


References
  1. Olive DL, Schwartz LB. Endometriosis. N Engl J Med. 1993;328:1759-69.   [CrossRef]   [Pubmed]    Back to citation no. 1
  2. Ranney B. The prevention, inhibition, palliation and treatment of endometriosis. Am J of Obs and Gynec. 1975;123:778-85.   [Pubmed]    Back to citation no. 2
  3. Macafee CH, Greer HL. Intestinal endometriosis. A report of 29 cases and a survey of the literature. J Obstet Gynaecol Br Emp. 1960;67:539-55.   [CrossRef]   [Pubmed]    Back to citation no. 3
  4. Yantiss RK, Clement PB, Young RH. Endometriosis of the intestinal tract: a study of 44 cases of a disease that may cause diverse challenges in clinical and pathologic evaluation. Am J Surg Pathol. 2001;25:445-54.   [Pubmed]    Back to citation no. 4
  5. De Ceglie A, Bilardi C, Blanchi S, et al. Acute small bowel obstruction caused by endometriosis: A case report and review of the literature. World J Gastroenterol 2008;14(21):3430-4.   [CrossRef]   [Pubmed]    Back to citation no. 5
  6. Martimbeau PW, Pratt JH, Gaffey TA. Small-bowel obstruction secondary to endometriosis. Mayo Clin Proc. 1975;50:239-43.   [Pubmed]    Back to citation no. 6
  7. Mussa FF, Younes Z, Tihan T, Lacy BE. Anasarca and small bowel obstruction secondary to endometriosis. J Clin Gastroenterol. 2001;32:167-171.   [CrossRef]   [Pubmed]    Back to citation no. 7
  8. Townell, N H, Vanderwalt, J D. Intestinal endometriosis: diagnosis and management. Br J Surg. 1984;71:629-30.   [CrossRef]   [Pubmed]    Back to citation no. 8
  9. LiVolsi VA, Perzin KH. Endometriosis of the small intestine, producing small intestinal obstruction or simulating neoplasm. Dig Dis. 1974;19:100-8.   [CrossRef]    Back to citation no. 9
  10. Samia I, Lidder S, Mohamid W, Carter M, Thompson H. Intussusception of the appendix secondary to endometriosis: a case report. J Med Case Reports. 2008;2:12.   [CrossRef]   [Pubmed]    Back to citation no. 10
  11. Chen KT. Endometrioid adenocarcinoma arising from colonic endometriosis mimicking primary colonic carcinoma. Int J Gynecol Pathol. 2002;21:285-8.   [CrossRef]   [Pubmed]    Back to citation no. 11
  12. Chen KT. Endometrioid adenocarcinoma arising from colonic endometriosis mimicking primary colonic carcinoma. Int J Gynecol Pathol. 2002;21:285-288.   [CrossRef]   [Pubmed]    Back to citation no. 12
  13. Mann WJ, Fromowitz F, Saychek T, Madariaga JR, Chalas E. Endometriosis associated with appendiceal intussusception: a report of two cases. J Reprod Med. 1984;29:625-9.   [Pubmed]    Back to citation no. 13

[HTML Abstract]   [PDF Full Text]

Author Contributions:
Asiri Arachchi - Substantial contributions to conception and design, Acquisition of data, Analysis and interpretation of data, Drafting the article, Revising it critically for important intellectual content, Final approval of the version to be published
Abhinav Vasudevan - Substantial contributions to conception and design, Acquisition of data, Analysis and interpretation of data, Drafting the article, Revising it critically for important intellectual content, Final approval of the version to be published
Guarantor of submission:
The corresponding author is the guarantor of submission.
Source of support:
None
Conflict of interest:
Authors declare no conflict of interest.
Copyright:
© Asiri Arachchi et al. 2011; This article is distributed the terms of Creative Commons Attribution License which permits unrestricted use, distribution and reproduction in any means provided the original authors and original publisher are properly credited. (Please see Copyright Policy for more information.)