Table of Contents    
CASE REPORT
 
Degradation of myofibrillar proteins and inadequate antioxidants in selective muscle wasting of limb girdle muscular dystrophy
Rajakumar Dhanarajan1, Anilkumar B Patil2, Mathew Alexander3, Geeta Chacko4, Anna Oommen5
1Senior Research Fellow, Section of Neurochemistry, Department of Neurological Sciences, Christian Medical College, Vellore, Tamilnadu, India.
2Assistant Professor, Section of Neurology, Department of Neurological Sciences, Christian Medical College, Vellore, Tamilnadu, India.
3Professor, Section of Neurology, Department of Neurological Sciences, Christian Medical College, Vellore, Tamilnadu, India.
4Professor, Section of Neuropathology, Department of Neurological Sciences, Christian Medical College, Vellore, Tamilnadu, India.
5Senior Scientist Grade-I, Section of Neurochemistry, Department of Neurological Sciences, Christian Medical College, Vellore, Tamilnadu, India.


doi:10.5348/ijcri-2011-06-37-CR-2

Address correspondence to:
Dr. Rajakumar Dhanarajan
Neurochemistry Laboratory
Department of Neurological Sciences
Christian Medical College
Vellore 632 004
India
Phone: 91-9790570526
Fax: 91-416-2232035
Email: dhanurajan@hotmail.com

[HTML Abstract]   [PDF Full Text]

How to cite this article:
Dhanarajan R, Patil AB, Alexander M, Chacko G, Oommen A. Degradation of myofibrillar proteins and inadequate antioxidants in selective muscle wasting of limb girdle muscular dystrophy. International Journal of Case Reports and Images 2011;2(6):6-11.


Abstract
Introduction: An unexplained feature of inherited muscular dystrophies is the wasting of selective muscle. Transcriptional signatures that differ between muscles may contribute to selective muscle wasting of muscular dystrophies. Biochemical signaling pathways involved in selective wasting have not been studied.
Case Report: This study examined signaling mechanisms that stimulate protein degradation, which may govern selective muscle wasting, in a patient with Miyoshi myopathy. Oxidative stress, nitric oxide signaling and protein degradation through the ubiquitin proteasome pathway were studied in relatively spared hamstring and wasted gastrocnemius muscle of the patient and in control muscle. Oxidative stress occurred in spared and wasted Miyoshi myopathic muscle. A strong anti-oxidant response was observed in spared muscle. Tyrosine nitration of 56kDa protein(s) was 2.3 and 5 fold higher in spared and wasted muscles respectively compared to normal. Nitrocysteinylated proteins were comparable between spared hamstring and normal muscle but reduced 35% in gastrocnemius muscle compared to normal. Ubiquitinylated proteins were increased 2.6 fold in the hamstring muscle and 1.6 fold in the gastrocnemius muscle compared to normal. The protein content of the hamstring and gastrocnemius muscles was reduced 43% and 37% respectively compared to normal. Myosin heavy chain and actin levels were normal in hamstring muscle but reduced nearly four fold in gastrocnemius muscle compared to normal.
Conclusion: Oxidative and nitrosative stress and loss of actin and myosin were associated with selective muscle wasting of Miyoshi myopathy. A strong anti-oxidant response that protects myofibrillar proteins against degradation may spare muscle in Miyoshi myopathy.

Key Words: Actin, Miyoshi myopathy, Myosin, Nitric oxide, Ubiquitin-proteasome pathway


Introduction

An intriguing feature of muscular dystrophies is the involvement of selective tissue with disease progression despite a common mutation in all tissues. Transcriptional signatures that differ between muscles suggest that specific signaling pathways may be associated with selective muscle wasting of muscular dystrophies. [1] The proteomics of these signaling pathways have been not explored in detail.

Limb girdle muscular dystrophies (LGMD) are among the most common muscular dystrophies which target the limb girdle musculature. Dysferlinopathies, autosomal recessive LGMD, are due to absence or reduction of the muscle membrane protein, dysferlin. [2] A case of dysferlinopathy is presented to highlight preferential loss of specific proteins in selectivity of genetic disease. The major muscle proteins myosin and actin, oxidative and nitrosative stress that activate protein degradation and the ubiquitin proteasome protein-degrading pathway, were assessed in relatively spared hamstring muscle and wasted gastrocnemius muscle of a patient with Miyoshi myopathy, to determine their role in selective muscle dystrophy.

Case Report

The patient was a 22-year-old male who presented with a 4-year history of pain in his calf, thigh and gluteal muscles while walking. He developed thinning and weakness of calf muscles and later of the thigh muscles. He is born of a non-consangenious union and has no family history.

Neurological examination revealed marked bilateral wasting of the calf muscles, foot muscles, hamstring and quadriceps. Lower limbs had marked weakness of the plantar flexion of the ankle (MRC 3/5) and the other groups of muscles had an MRC 4/5. Deep tendon reflexes were absent at the ankles. He had a waddling gait and could not walk on his toes. His serum creatine kinase was 9431 units/litre and the EMG was supportive of a myopathic process. He underwent a muscle biopsy of his right gastrocnemius muscle. Six months later MR imaging of the lower limbs led to a muscle biopsy of the left hamstring muscle.

The muscle biopsies were subject to histology, immunohistochemistry and western blot analysis. Normal muscles obtained from five patients undergoing surgery for clubfoot correction served as controls. All muscle samples were obtained with informed consent.

Methods

Histology:
Muscles were fixed in 10% neutral buffered formalin, processed routinely and 4µ sections of paraffin-embedded tissue stained with haematoxylin and eosin (H&E).

SDS-polyacrylamide gel electrophoresis (SDS-PAGE)
Protein was estimated as non-collagen protein by the method of Lowry, subsequent to alkaline hydrolysis of muscle, to exclude misinterpretation of fibrous proteins as muscle proteins. Muscles were homogenized in 19 volumes 0.125M Tris/Hcl pH 7.6 containing 10% glycerol, 10% SDS, 4M urea, 0.1M EDTA, 10% β-mercaptoethanol and 0.05% bromophenol blue and 20µg non-collagen protein subject to reducing SDS-PAGE (3.5-12% gels). Proteins were visualized on gels stained with Coomassie brilliant blue-R 250. To normalize for protein loading the ratio of actin/ myosin heavy chain intensity to total protein intensity of each lane was considered.

Western blots
Proteins were electrotransferred to polyvinylidene fluoride membranes for 1 hour (80V/4oC) following electrophoresis of 50-100µg non-collagen protein and separate blots were probed with primary antibodies to dysferlin, calpain-3, nitrotyrosine, nitrocysteine, NF-κBp65, ubiquitin or glyceraldehyde phosphate dehydrogenase (GAPDH) and developed by the streptavidin peroxidase method. Post transferred gels were stained with Coomassie brilliant blue-R 250. Densitometric image analysis of gels and blots was performed with software developed in-house that correlated with Bio-Rad Quantity One Quantitation software version 4 (r = 0.8).

Oxidative and nitrosative stress parameters
Muscles were homogenized in 10 volumes of specific assay buffers and assayed for lipid peroxidation by the thiobarbituric acid reaction for malondialdehyde, protein thiols by their reaction with 5'5'dithiobis-2-nitrobenzoic acid (DTNB), reduced glutathione (GSH) by the colorimetric method of Ellman and catalase by the breakdown of H2O2 at 240nm. Nitrate, the stable end product of nitric oxide (NO), was reduced to nitrite with copper-cadmium alloy and assayed in muscle homogenates by the Griess reaction.

Diagnosis

Although mutation analysis is the gold standard for diagnosis of dysferlinopathy, clinical features specific to dysferlinopathy with immune blots negative for dysferlin are considered diagnostically adequate and comparable to mutational analysis. [3] The patient in this study was diagnosed as Miyoshi myopathy based on clinical findings, muscle histopathology, immunohistochemistry and western blots negative for dysferlin.

Results

Histopathology, immunohistochemistry and western blots
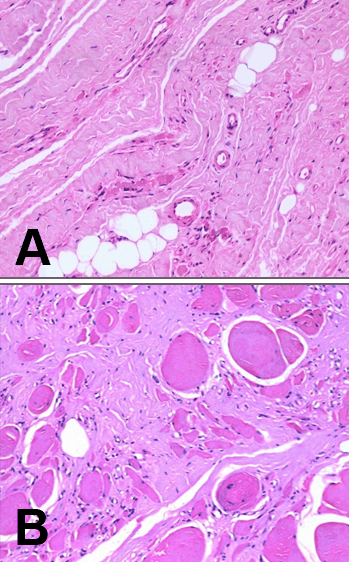
The gastrocnemius muscle showed extensive replacement by fibrocollagenous tissue (Figure 1). Histopathology of the left hamstring muscle revealed preserved architecture with myopathic features (Figure 1). Immunohistochemistry indicated the presence of dystrophin and a- sarcoglycans in both muscles (data not shown). On immune blots, dysferlin was absent (Figure 2) and calpain 3 was present in hamstring and gastrocnemius muscles of the patient (data not shown).

Click below to enlarge
Figure 1: Photomicrographs of A) wasted gastrocnemius muscle illustrating the end stage muscle with marked fibrosis and replacement by adipose tissue, B) Photomicrographs of hamstring muscle, illustrating skeletal muscle with myopathic features.(H&E x200).



Click below to enlarge
Figure 2: Western blot for Dysferlin. 100ug non collagen protein of each muscle was subjected to SDS-PAGE (3.5-12%), blotting was done as given in methods. Blots were probed with anti dysferlin antibodies. Molecular weight marker (lane 1), hamstring muscle (lane 2), gastrocnemius muscle (lane 3), control muscle (lane 4).


Muscle proteins
Protein content of hamstring and gastrocnemius muscles were reduced 43% and 37% respectively, compared to normal muscle (Table 1). Myosin heavy chain and actin levels were slightly decreased (0.1 fold) in the hamstring muscle but reduced 4.2 and 3.7 fold respectively, in the gastrocnemius muscle as determined from SDS-PAGE protein profiles (Figure 3A) (Table 1). Ubiquitinylated proteins were increased 2.6 fold in hamstring muscle and 1.6 fold in gastrocnemius muscle compared to normal muscle (Figure 3B) (Table 1). NF-κBp65 protein increased 6.6 fold in hamstring and 11.5 fold in gastrocnemius muscle compared to normal muscle (Table 1).

Oxidative and nitrosative stress
Lipid peroxidation, protein thiols and protein carbonyls were 3.5, 2.5 and 16 fold higher in hamstring muscle compared to normal muscle. Their levels in the gastrocnemius muscle were less than 1.8 fold higher than normal (Table 1). Nitrite levels were elevated three fold in hamstring and four fold in gastrocnemius muscle compared to normal (Table 1). Tyrosine nitration of proteins in the range of 56kDa was 2.3 fold and five fold higher in the hamstring and gastrocnemius muscles respectively compared to normal muscle (Figure 3C) (Table 1). S-nitrosylation of cysteine groups was comparable between proteins of hamstring and normal muscle (Figure 3D). Their levels were 35% less in the gastrocnemius muscle compared to normal (Figure 3D) (Table 1).

Antioxidants in muscles
Reduced glutathione was elevated three fold in the hamstring muscle and decreased three fold in the gastrocnemius muscle compared to normal (Table 1). Catalase was elevated eight fold in the hamstring muscle and five fold in the gastrocnemius muscle compared to normal (Table 1).

Click below to enlarge
Table 1: Protein, oxidant, anti-oxidant and nitric oxide profiles of Miyoshi myopathy muscles.



Click below to enlarge
Figure 3: A) SDS - PAGE of muscle proteins: 20 ug of non collagen protein of each muscle subjected to SDS-PAGE (3.5-12%) and the gels stained with commassie briliant blue R-250. B) Western blot of Ubiquitinylated muscle proteins: 100ug non collagen protein of each muscle was subjected to SDS-PAGE (3.5-12%), blotting was done as given in methods. Blots were probed with anti ubiquitin antibodies, Immune blots of C) nitrotyrosinylated and D) S-nitroso cysteine proteins. Muscle proteins: 100 ug non collagen protein of each muscle was subjected to SDS-PAGE (3.5-12%), blotting was done as given in methods. Blots were probed with anti nitrocysteine and anti nitrotyrosine antibodies. Molecular weight marker (lane 1), Control muscle (lane 2), Hamstring muscle (lane 3), Gastrocnemius muscle (lane 4)




Discussion

The arguments in this study for suggesting mechanisms of selective and preferential loss of the gastrocnemius muscle in Miyoshi myopathy are based on the earlier severe wasting of this muscle compared to the hamstring muscle that remains preserved even six months later. The absence of dysferlin was associated with significant protein loss by degradation through the ubiquitin proteasome system in both muscles. The nature of the lost proteins were different and this maybe important in the pathogenesis of Miyoshi myopathy. Loss of actin and myosin in the gastrocnemius muscle resulting in a 40% decrease in the myosin to actin ratio may account for weakness of this muscle in Miyoshi myopathy.

Muscles with the capacity to protect their major myofibrillar proteins from degradation maybe spared in Miyoshi myopathy, as noted in the hamstring muscle, where loss may mainly be of sarcoplasmic and extracellular proteins.

Mediators of intracellular signaling that regulate protein degradation include oxidative and nitrosative stress. [4] [5] [6] Absence of dysferlin appears to induce oxidative stress in both spared hamstring and affected gastrocnemius muscles. The ability to mount a strong anti-oxidant defense in the spared muscle but only a weak response in the wasted muscle suggests that guarding against oxidative damage is important to spare muscle in Miyoshi myopathy.

In the oxidative environment of the muscle, NO can convert to reactive nitrogen species which can modify proteins and activate different signaling pathways including those that act through NF-κB. [7] Posttranslational modifications induced by NO, of tyrosine nitration and S-nitrocysteinylation, can be protective or induce protein degradation and cell death. [8] The NO profiles of spared and affected muscles of Miyoshi myopathy suggest a role for NO in committing cells to death. In muscles that are spared, although NO is elevated, the NO signature resembles that of normal muscle with respect to nitro-cysteinylated proteins. Tyrosine nitration of protein(s) of 56kDa is minor. Elevated levels of GSH in this muscle may scavenge NO and maintain the normal NO profile. In contrast predominant tyrosine nitration of 56kDa protein(s) with concomitant reduction of nitro-cysteinylated proteins and increased NF-κBp65 in wasted muscle may underlie signaling pathways that direct selective muscle wasting of Miyoshi myopathy. Similar findings are noted in disuse-induced atrophy. In rats subject to space flights or hind limb suspension, where the gastrocnemius muscle is selectively wasted, preferential wasting of myosin heavy chain, increased lipid peroxidation, decreased reduced glutathione and increased muscle protein polyubiquitinylation are also reported. [9] [10]

Conclusion

Oxidative and nitrosative stress that lead to nitration of tyrosine on protein(s) of 56kDa may signal degradation of the actinomyosin complex and result in weakness. A strong antioxidant defense that guards against loss of contractile proteins may spare the muscle.

References
  1. von der Hagen M, Laval SH, Cree LM, Haldane F, Pocock M, Wappler I, et al. The differential gene expression profiles of proximal and distal muscle groups are altered in pre-pathological dysferlin-deficient mice. Neuromuscul Disord. 2005;15:863-77.   [Pubmed]    Back to citation no. 1
  2. Weiler T, Bashir R, Anderson LV, Davison K, Moss JA, Britton S, et al. Identical mutation in patients with limb girdle muscular dystrophy type 2B or Miyoshi myopathy suggests a role for modifier gene(s). Hum Mol Genet. 1999;8:871-7.   [CrossRef]   [Pubmed]    Back to citation no. 2
  3. Sáenz A, Leturcq F, Cobo AM, Poza JJ, Ferrer X, Otaegui D, et al. LGMD2A: genotype-phenotype correlations based on a large mutational survey on the calpain 3 gene. Brain. 2005;128:732-42.   [CrossRef]   [Pubmed]    Back to citation no. 3
  4. Tidball JG, Wehling-Henricks M. The role of free radicals in the pathophysiology of muscular dystrophy. J Appl Physiol. 2007;102:1677-86.   [CrossRef]   [Pubmed]    Back to citation no. 4
  5. Ragusa RJ, Chow CK, Porter JD. Oxidative stress as a potential pathogenic mechanism in an animal model of Duchenne muscular dystrophy. Neuromuscul Disord. 1997;7:379-86.   [CrossRef]   [Pubmed]    Back to citation no. 5
  6. Messina S, Altavilla D, Aguennouz M, Seminara P, Minutoli L, Monici MC, et al. Lipid peroxidation inhibition blunts nuclear factor-kappaB activation, reduces skeletal muscle degeneration, and enhances muscle function in mdx mice. Am J Pathol. 2006;168:918-26.   [Pubmed]    Back to citation no. 6
  7. Marshall HE, Merchant K, Stamler JS. Nitrosation and oxidation in the regulation of gene expression. FASEB J. 2000;14:1889-1900.   [CrossRef]   [Pubmed]    Back to citation no. 7
  8. Callahan LA, Stofan DA, Szweda LI, Nethery DE, Supinski GS. Free radicals alter maximal diaphragmatic mitochondrial oxygen consumption in endotoxin-induced sepsis. Free Radic Biol Med. 2001;30:129-38.   [CrossRef]   [Pubmed]    Back to citation no. 8
  9. Ikemoto M, Nikawa T, Kano M, Hirasaka K, Kitano T, Watanabe C, et al. Cysteine supplementation prevents unweighting-induced ubiquitination in association with redox regulation in rat skeletal muscle. Biol Chem. 2002;383:715-21.   [CrossRef]   [Pubmed]    Back to citation no. 9
  10. Ikemoto M, Nikawa T, Takeda S, Watanabe C, Kitano T, Baldwin KM, et al. Space shuttle flight (STS-90) enhances degradation of rat myosin heavy chain in association with activation of ubiquitin-proteasome pathway. FASEB J. 2001;15:1279-81.   [Pubmed]    Back to citation no. 10

[HTML Abstract]   [PDF Full Text]

Acknowledgement:
R. Dhanarajan is supported by a senior research fellowship of the Indian Council of Medical Research (Project No 5/4 -5/2/Neuro/2008).
Author Contributions:
Rajakumar Dhanarajan - Conception and design, Acquisition of data, Analysis and interpretation of data, Drafting the article, Critical revision of the article, Final approval of the version to be published
Anilkumar B Patil - Conception and design, Drafting the article, Critical revision of the article, Final approval of the version to be published
Mathew Alexader - Conception and design, Drafting the article, Critical revision of the article, Final approval of the version to be published
Geeta Chacko - Conception and design, Drafting the article, Critical revision of the article, Final approval of the version to be published
Anna Oommen - Conception and design, Acquisition of data, Analysis and interpretation of data, Drafting the article, Critical revision of the article, Final approval of the version to be published
Guarantor of submission:
The corresponding author is the guarantor of submission.
Source of support:
None
Conflict of interest:
The author(s) declare no conflict of interests
Copyright:
© Rajakumar Dhanarajan et al. 2011; This article is distributed under the terms of Creative Commons Attribution License which permits unrestricted use, distribution and reproduction in any means provided the original authors and original publisher are properly credited. (Please see Copyright Policy for more information.)